Assallamualaikum….
Selamat pagiiii….
Alhamdulillah ketemu lagi kita… 🙂 Senang rasanya pagi ini bisa posting kasus lagi setelah 1 bulan lebih dari postingan terakhir…..
Terima kasih buat yang masih sering mampir di website ini untuk melihat kasus-kasus yang saya kerjakan, semoga ada manfaatnya….
Kegiatan saya selama bulan Juni-Juli ini cukup menyita waktu sehingga tidak sempat untuk update kasus di web ini… Setelah akhir bulan April 2018 saya tampil di Lombok, akhir Juni 2018 kemarin saya tampil di Salatiga… Perjalanan menuju Salatiga cukup menyenangkan karena tidak bisa direct flight sehingga saya mendarat di Semarang kemudian lanjut transportasi darat… Pada saat perjalanan lewat darat ini disuguhi pemandangan yang indah sepanjang jalan tolnya… lumayan menyegarkan mata 🙂
Ini beberapa momen pada saat acara di Salatiga…

Berfoto bersama panitia acara

Senang bisa tampil dengan guru saya drg. Bernard Iskandar, Sp.KG(K) dan juga prostodontis handal drg. Ifwandi (Guci), Sp.Pros

Bersama peserta HO…. terima kasih ya gaeees….
Kemudian seminggu setelah acara di Salatiga saya kembali berangkat keluar kota untuk mengisi acara di Sragen…
” Maafkan ya pasien2 ku.. dokternya sering diminta mengisi acara diluar kota, tapi ketika sudah kembali saya stand by terus kok 🙂 ”
Perjalanan menuju Sragen juga tidak bisa direct flight sehingga saya terbang menuju Solo dan menginap di kota ini.. Baru kemudia pada saat hari H dijemput panitia menuju Sragen…
Ini foto-foto selama acara di Sragen….

Sebagai narasumber bareng drg. Andi Wirahadikusumah, Sp.Pros

Suasana ketika hands on… Banyak pertanyaan bagus yang disampaikan para peserta… mantaaaab….

Berfoto bersama para peserta hands on…
Pengalaman yang seru banget selama di dua kota itu…. Terima kasih untuk PDGI Salatiga, PDGI Sragen, sponsor acara Voco Indonesia, Denjoy Indonesia, seluruh peserta seminar dan peserta hands on…. semuanya telah ikut menuliskan cerita indah dalam perjalanan hidup saya… sukes buat semuanya yaaaaa 🙂
Untuk bulan Agustus nanti saya dijadwalkan mengisi di acara seminar yang diadakan oleh PDGI Jakarta Selatan… daaaan alhamdulillah untuk seat hands on nya sudah sold out…

Terima kasih buat teman2 PDGI cabang yang masih memberikan kesempatan untuk saya berbagi di acara seminarnya….
….and now this is today case….
Sebelum masuk ke cerita kasus saya ucapkan syukur kepada Allah SWT yang telah memberikan banyak keindahan dalam hidup saya.. Terima kasih kepada orang tua saya yang telah membesarkan dan mendidik dengan penuh kasih sayang… Kepada istri dan anak-anak saya yang telah mendampingi dan memberikan support… Kemudian juga buat para staf pengajar di almamater saya yang telah memberikan ilmu yang bermanfaat..
Kasus hari ini tentang gigi-gigi anterior yang fraktur karena kecelakaan lalu lintas. Pasien datang menceritakan kejadian yang dialaminya dan meminta saran bagaimana sebaiknya tindakan yang dilakukan pada giginya…
Kalimat yang saya ingat betul dari pasien adalah “Dok, tolong kembalikan senyum saya lagi.” ……..kalimat sederhana tapi membuat saya memikul tanggung jawab yang berat…
Setelah saya lakukan pemeriksaan klinis dan radiografis, saya sudah membayangkan kira2 rencana perawatan apa yang akan saya terapkan…
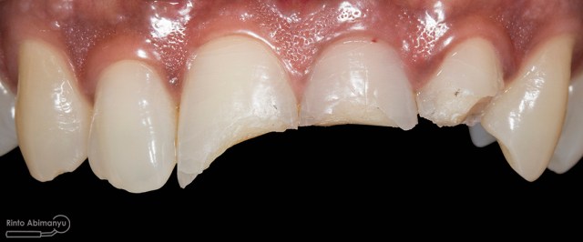
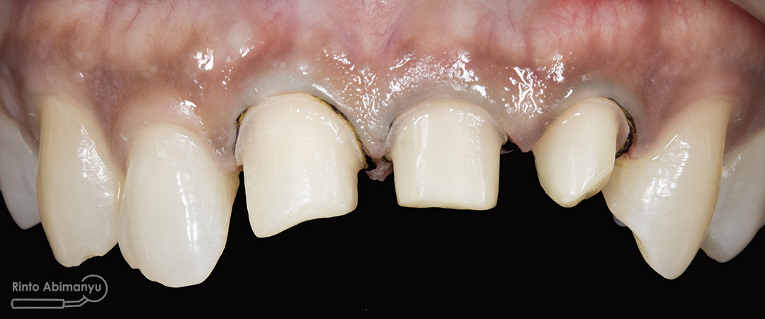
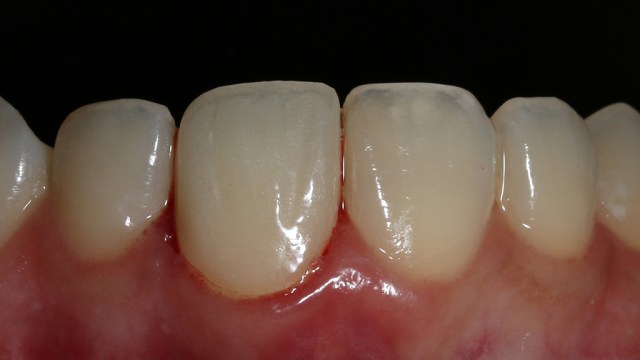
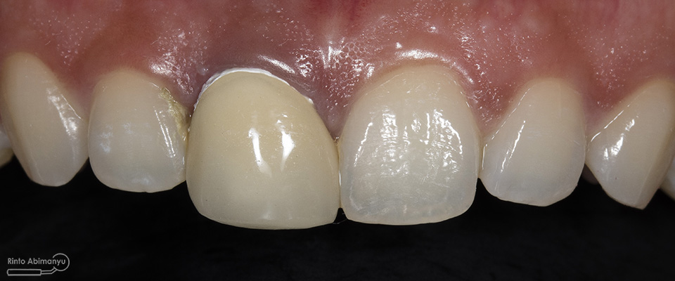
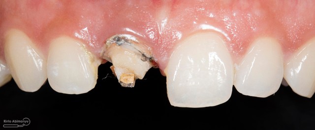
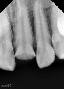
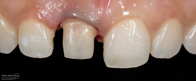
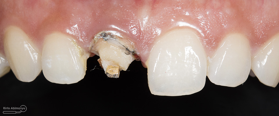
Begini kondisi klinis saat datang…

Foto klinis gigi-gigi anterior yang mengalami fraktur
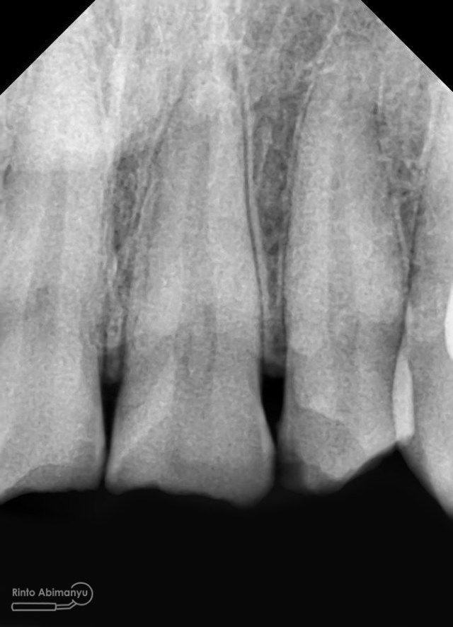
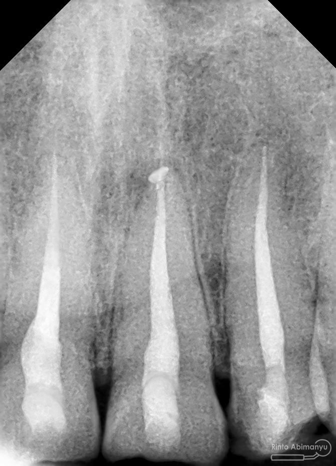
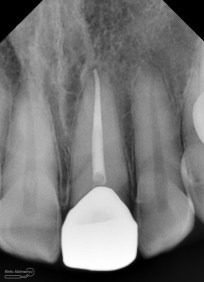
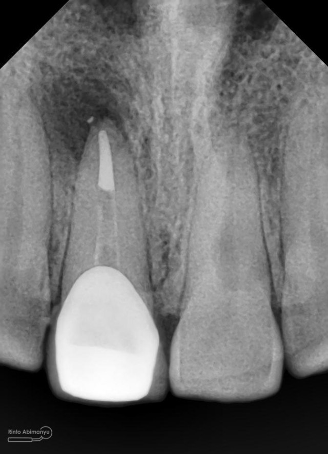
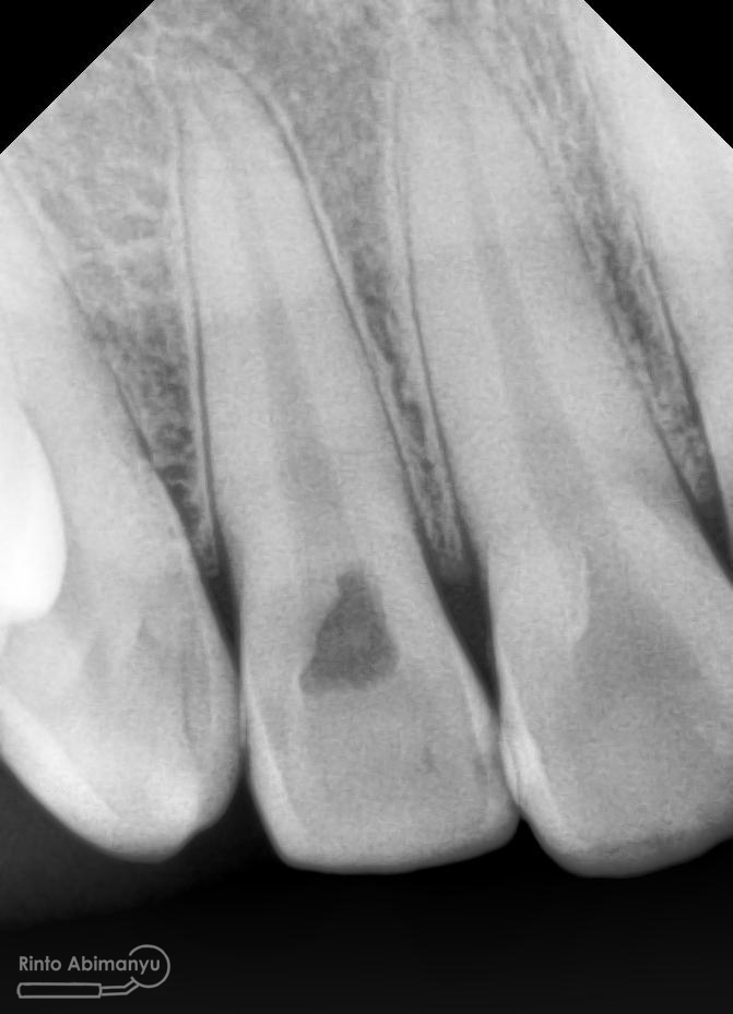
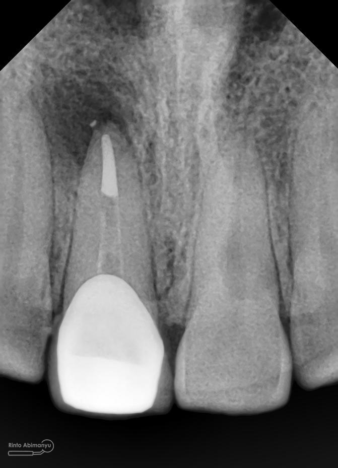
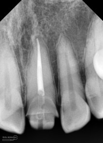
dan ini foto ronsen nya…

Foto radiografis gigi 11 21 22 yang mengalami fraktur
Dari pemeriksaan radiografis lokasi fraktur menyerempet kamar pulpa pada ketiga gigi tersebut… Saya sampaikan kepada pasien bahwa ketiga gigi tersebut memerlukan perawatan saluran akar terlebih dahulu baru kemudian dilanjutkan dengan restorasi indirek… kenapa saya pilih restorasi indirek? Pertimbangannya adalah sisa struktur mahkota gigi yang ada bila hanya di “sambung” dengan restorasi direk dalam jangka panjang rentan mengalami kerusakan, yang kedua pemilihan warna akan lebih maksimal pada kasus ini…. Pasien setuju dengan rencan perawatan yang saya jelaskan…
Untuk kunjungan pertama ini saya rencanakan melakukan perawatan saluran akar langsung pada dua gigi central… Saya pasang rubber dam untuk mengisolasi daerah kerja

Gigi 11 21 setelah dipasang rubber dam
Akses kamar pulpa dilakukan pada kedua gigi, dan penjajakan saluran menggunakan K-file nomer 10.. Kemudian pengukuran panjang kerja menggunakan apex locator Root ZX mini (Morita).. Preparasi saluran akar pada gigi insisiv tidak memerlukan waktu lama karena saluran akarnya yang sudah lebar, sehingga waktu yang terpakai lebih banyak untuk aktivasi irigasi, pada kasus ini saya menggunakan larutan irigasi NaOCl 5,25% dan diaktivasi menggunakan alat sonik waterpik dengan tip endoactivator….

Kondisi gigi setelah selesai cleaning and shaping
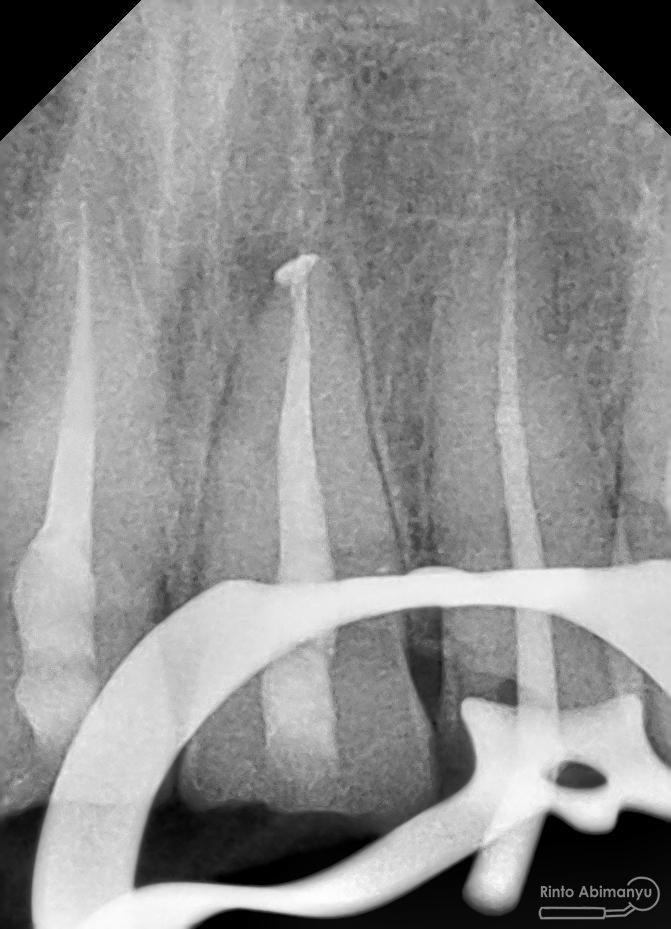
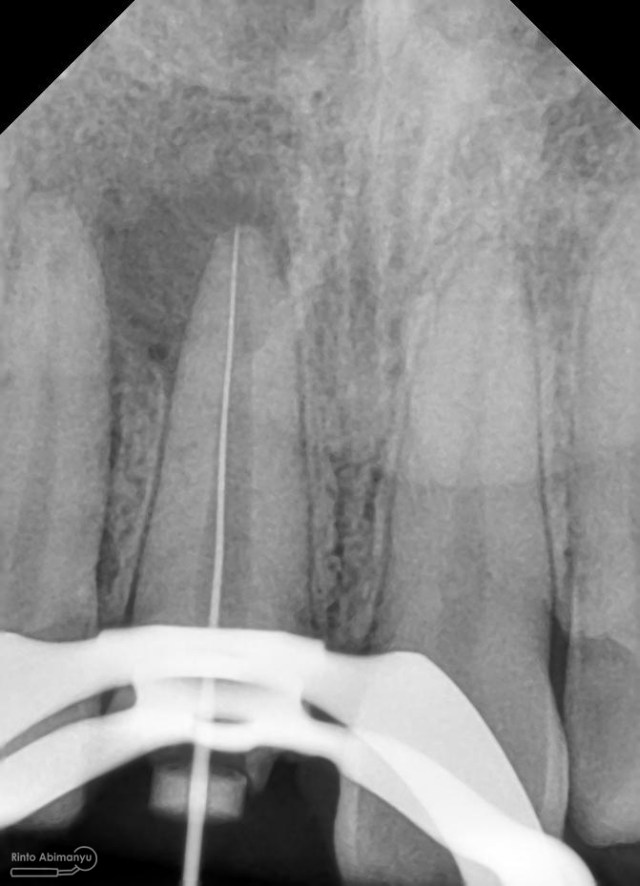
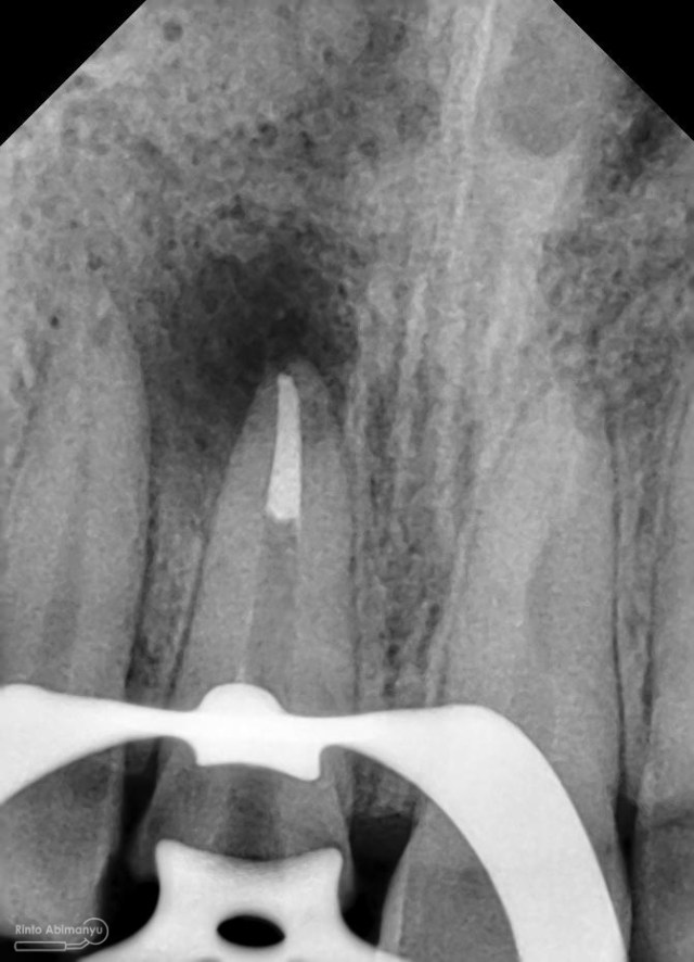
Kemudian dilakukan pengepasan guttap dan difoto ronsen….

Foto radiografis trial guttap
Dari ronsen terlihat guttap sudah pas dan langsung hari itu juga saya lakukan pengisian saluran akar kemudia pasien pulang…. Pada saat selesai pengisian tidak saya lakukan ronsen lagi karena saya merencanakan ronsen evaluasi pengisiannya sekalian foto ronsen saat pengepasan guttap pada gigi 22 saja biar efektif…
……Kunjungan berikutnya…..
Pasien datang kembali dan mengatakan tidak ada keluhan yang berarti saat selesai perawatan… ok alhamdulillah… berarti hari ini bisa dilanjutkan untuk melakukan perawatan di gigi 22…
Prosedur sama seperti kemarin memasangkan rubber dam dahulu untuk isolasi daerah kerja, kemudian melakukan akses ke kamar pulpa… Penjajakan awal saluran akar menggunakan K-file nomer 10, dan panjang kerja diukur menggunakan apex locator… Irigasi dan aktivasi masih menggunakan metode yang sama juga… Setelah prosedur cleaning and shaping selesai dilakukan pengepasan guttap dan difoto ronsen…

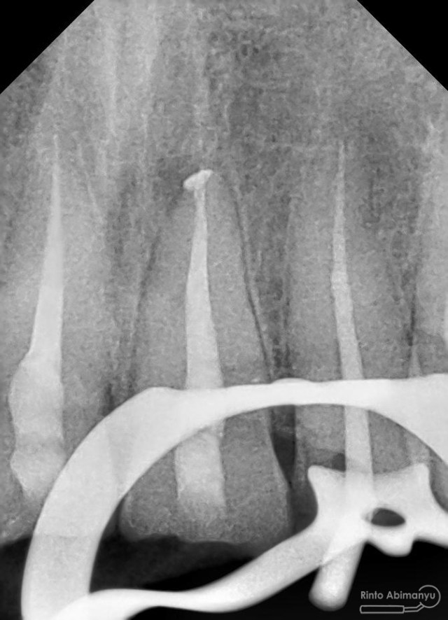
Foto radiografis trial guttap gigi 22
Nah dari foto ronsen ini juga saya melakukan evaluasi hasil pengisian pada gigi 11 21 nya… alhamdulillah pengisian yang kemarin terlihat sepanjang kerja dan padat serta rapat… Pada gigi 22 nya pun pengepasan guttap terlihat sudah sepanjang kerja…

Foto klinis gigi 22 selesai cleaning and shaping
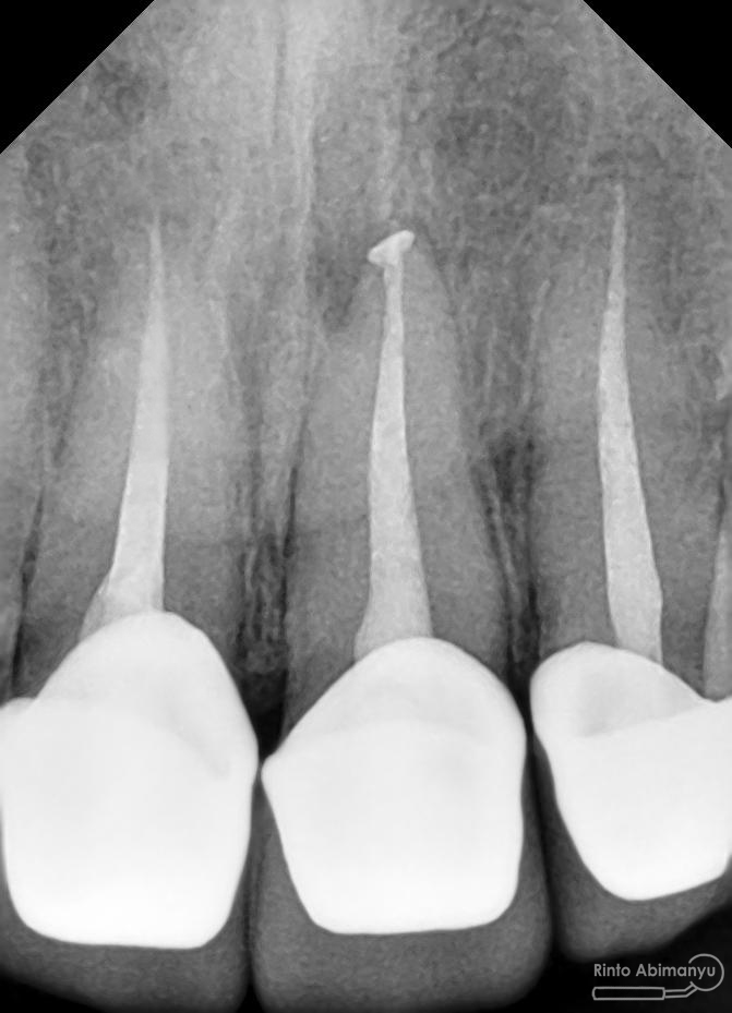
Pengisian dilakukan hari itu juga, kembali dilakukan foto ronsen setelahnya..

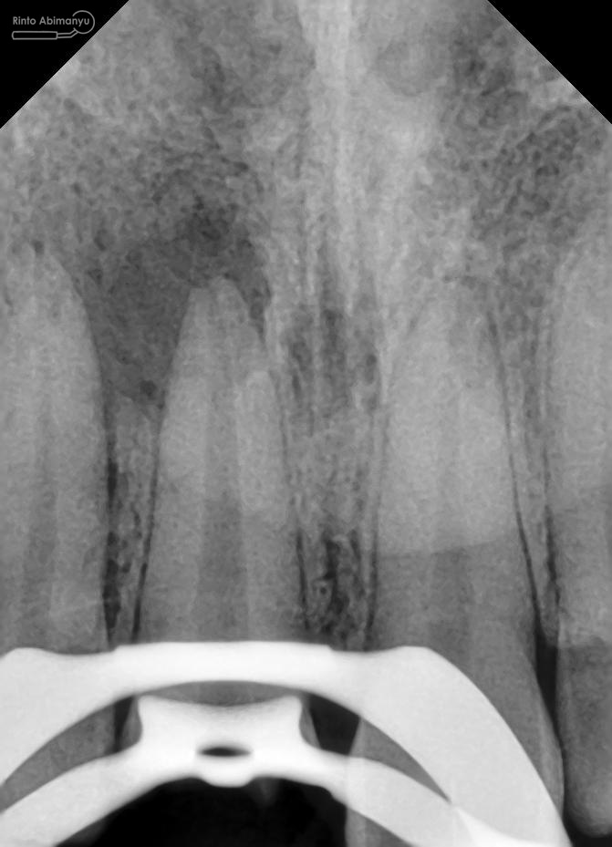
Foto radiografis selesai perawatan saluran akar pada semua gigi
Semua akses pada saat perawatan saluran akar ditutup dengan resin komposit, setelah itu gigi pasien dicetak untuk keperluan pembuatan wax up… Setelah dicetak pasien pulang…
Wax up ini merupakan proses yang penting bila kita berhadapan dengan kasus yang kondisi giginya tidak utuh, dari sanalah nanti kita mendapatkan visualisasi perkiraan hasil akhir perawatan… Wax up bisa dilakukan sendiri bila kita mempunyai alat dan bahan yang diperlukan atau bisa dikirimkan ke lab… Tapi saya mempunyai istri yang juga seorang prostodontis jadi saya minta tolong dia untuk melakukan wax up hehehe :p

Hasil wax up dan pada insert terlihat hasil cetak untuk silicone index
Model yang sudah diwax up kemudian saya cetak dengan putty double impression yang nanti cetakan tersebut dijadikan sebagai silicone index pembuatan mahkota sementara…
….Kunjungan ketiga……
Pasien datang kembali untuk melanjutkan perawatannya, masih sama seperti kemarin tidak ada keluhan setelah perawatan saluran akar…
Saya lakukan pencocokan warna gigi pasien dengan shade guide dan meminta pasien juga memcocokan warna di giginya sehingga dicapai kesepakatan untuk menentukan warnanya..
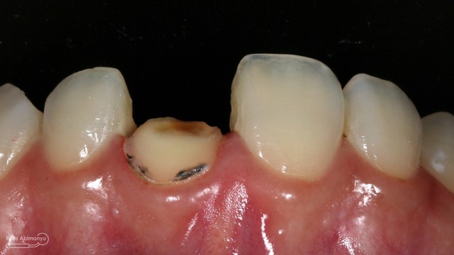
Kemudian preparasi pembuatan crown dimulai… Saya menggunakan bur silindris diameter kecil dengan ujung round sehingga untuk membentuk tepi preparasi menjadi chamfer akan lebih mudah… Selesai preparasi dilanjutkan dengan pemolesan hasil preparasi agar halus dan tidak mengganggu saat pencetakan.. Kemudian dipasangkan retraction cord nomer 00.
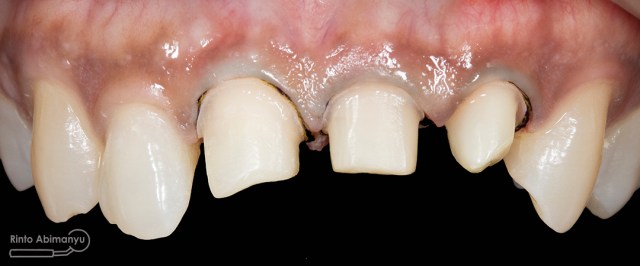
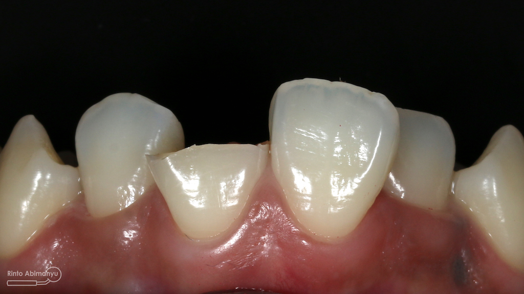
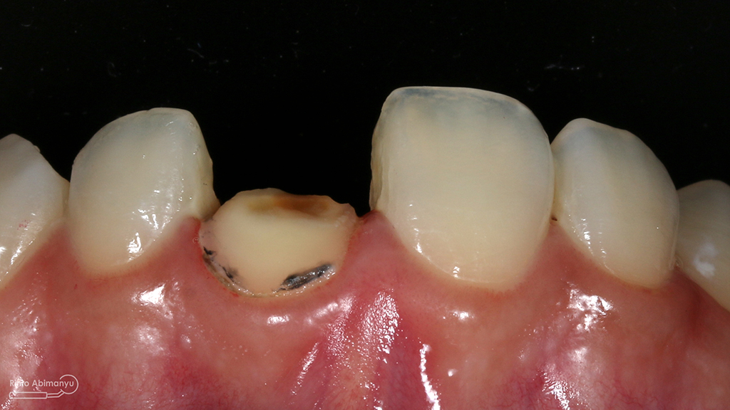
ini hasil preparasi gigi-giginya…

Hasil preparasi tampak depan

Hasil preparasi tampak oklusal
Setelah dilakukan pencetakan dengan bahan polyvinyl siloxane kemudian dibuatkan mahkota sementara menggunakan silicone index yang sudah disiapkan menggunakan bahan self cure komposite…. Tapi sayang tidak sempat foto pada saat mahkota tiruannya terpasang 😦
….2 minggu kemudian…..
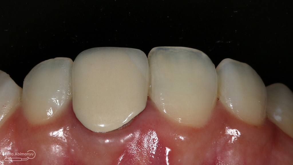
Crown dari lab sudah jadi dan ketika saya coba cocokkan dengan shade guide hasilnya sangat memuaskan… Baik warna dan bentuk sesuai ekspektasi…..

Shade crown sesuai dengan warna shade guide yang kita pilih
Ketika dilakukan try in pada pasien pun tidak ada kendala… perfect fit…
Sementasi menggunakan semen resin Relyx Ultimate (3M) dan bonding Scotchbond Universal (3M) dilakukan isolasi maksimal daerah sekeliling gigi pada sementasi tersebut…
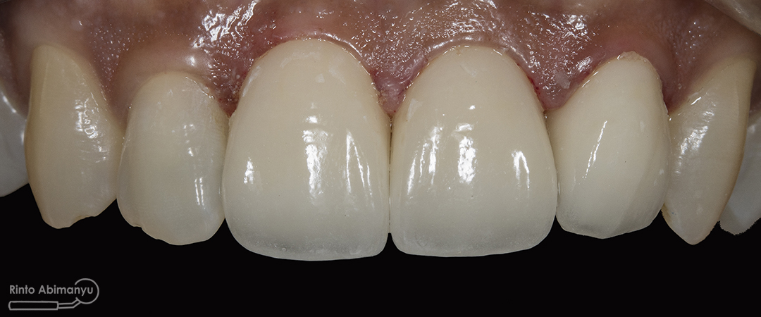
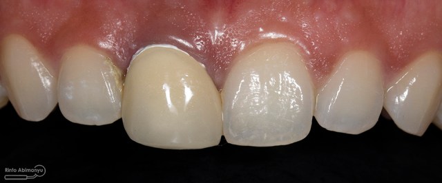
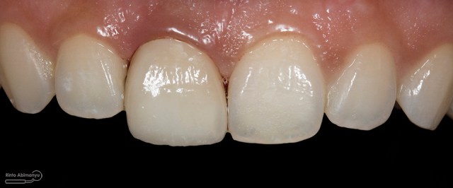
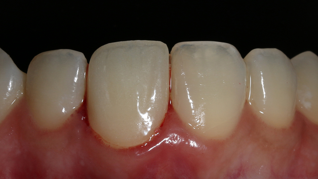
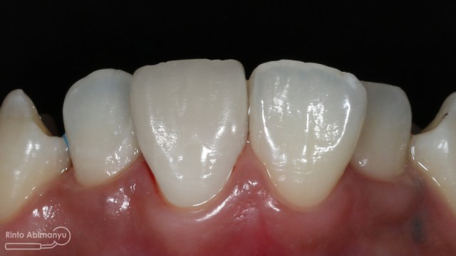
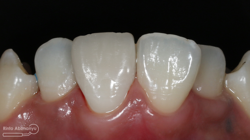
Begini hasil akhir setelah sementasi crown…

Foto klinis setelah pemasangan crown
Alhamdulillah pasien nya senang sekali…. dia puas dan saya pun senang karena dapat memenuhi keinginan pasien…..
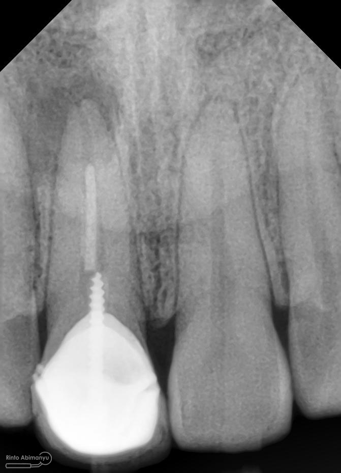
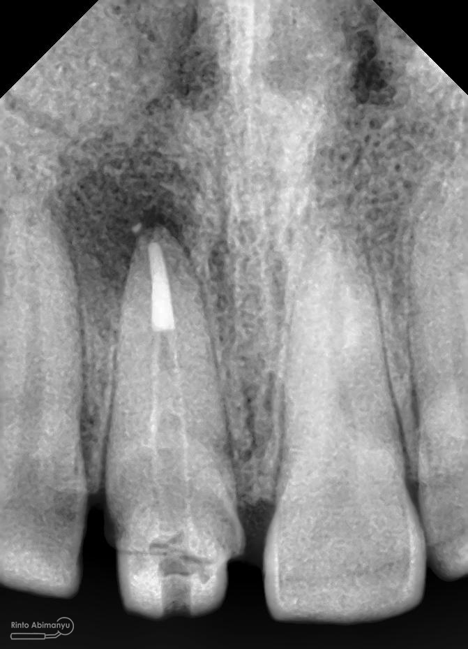
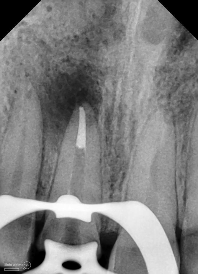
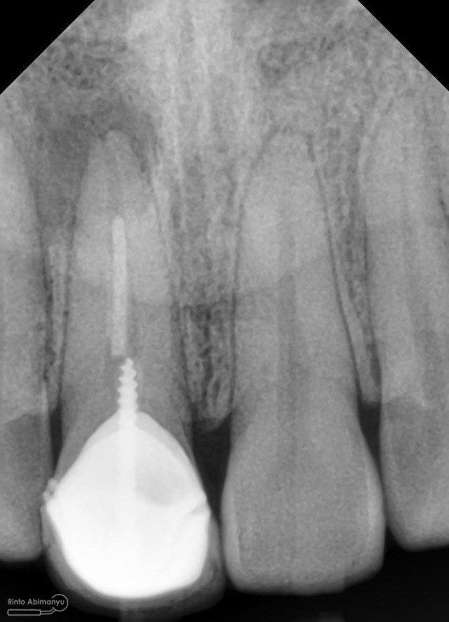
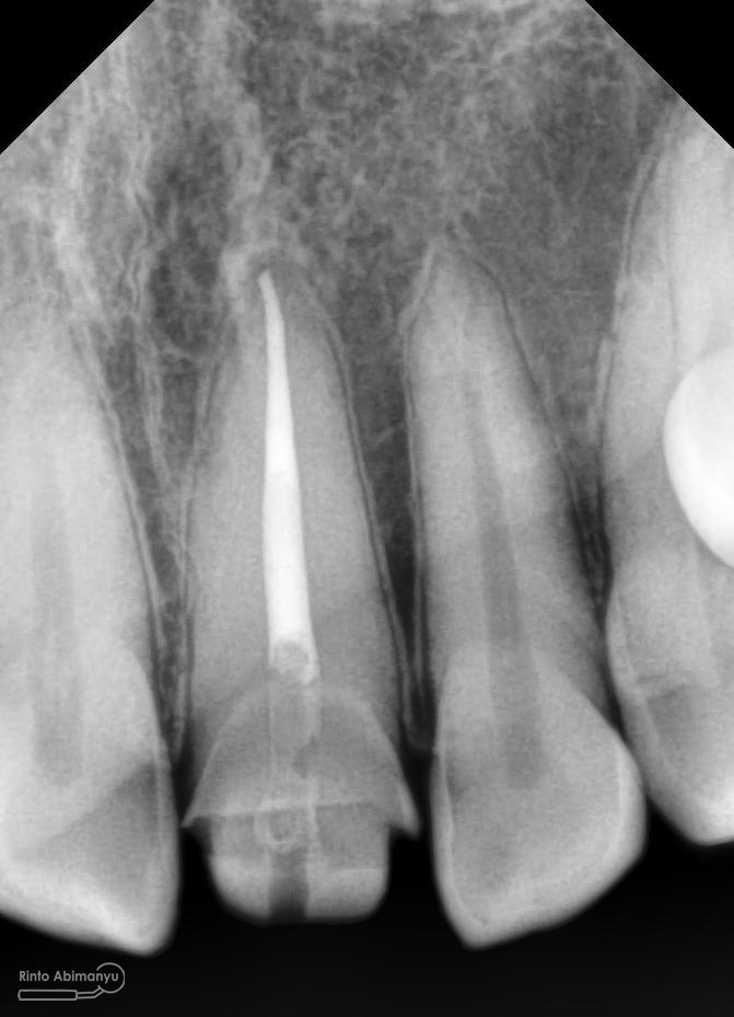
Oo iya tidak lupa juga dilakukan foto ronsen setelah pemasangan crown…

Foto radiografis akhir
Dari foto ronsen terlihat gambaran yang “indah” dari mulai pengisian saluran akar yang rapat dan padat serta gambaran sementasi mahkota yang terlihat homogen….
Dalam melakukan perawatan pada kasus dengan melibatkan faktor estetik perlu dibuatkan perencanaan terlebih dahulu sehingga kita bisa memprediksi hasil akhir dan kesulitan yang mungkin timbul pada saat pengerjaannya…
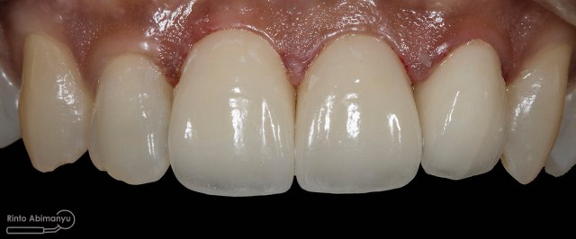
Nah ini resume foto before dan after perawatannya…



Lakukan komunikasi yang produktif dengan pasien untuk menyamakan presepsi terhadap kasus yang dihadapi sehingga tujuan perawatan dapat tercapai….
Sampai disini cerita kasus hari ini, semoga terus bisa ketemu di kasus berikutnya… 🙂
Buat pasien2 yang ingin konsul ke saya atau buat teman2 sejawat yang ingin mengkonsulkan pasien, atau yang mau datang ngobrol2, saya bisa ditemui disini….

atau bisa dilihat langsung klik disini.
Teman2 yang belum bergabung di Run ForwaRd ayo lekas bergabung, tapi hanya khusus buat dokter gigi dan yang bergerak di bidang usaha kedokteran gigi aja ya 🙂 … Sudah ada 3700 an member lho, silahkan langsung klik link berikut
Follow instagram saya @rintoabimanyu untuk update kasus2 baru dan jadwal sharing 😉
Wassallamualaikum….