Assallamualaikum….
Selamat pagiiii….
Alhamdulillah bisa posting kasus baru nih….. Apa kabar semua ? Gimana puasanya ? Semoga semuanya tetap sehat dan bisa menjalankan ibadah puasa dengan lancar ya…. 🙂
Pada bulan April kemarin saya ada jadwal sharing di Lombok dan alhamdulillah acaranya berlangsung lancaaar…. Ini dia beberapa momen ketika di Lombok….

Ketika baru tiba langsung diajak jalan2 sama panitia.. terima kasih drg. Wawan , drg. Mumu, drg. Vanny

dan….. di hari kedua diajak makan malam oleh drg. Samdharu di Qunci Resort…. Makasih ya mas Sam dan mbak Farida….
Ini ada link video sekilas kegiatas seminar saya yang di upload oleh Voco Indonesia
Seruuu banget…. Pengalaman jalan2 ke setiap daerah selalu mempunyai cerita tersendiri yang akan selalu saya ingat…. Terima kasih untuk PDGI Mataram, panitia acara, sponsor Voco Indonesia, drg. Samdharu dan drg. Farida, serta seluruh peserta yang sudah hadir…. 🙂
Ooo iya di bulan April juga saya berkesempatan mengikuti seminar dan hands on endodontik dari Dr. Moh’d Hammo yang diadakan oleh Revoden Dental…. Ini juga pengalaman luar biasa karena sangat membuka wawasan mengenai perawatan saluran akar….

Kami juga diundang untuk makan malam bersama Dr. Hammo, terima kasih untuk Pak James dari Revoden Dental
Ok itu tadi kegiatan saya selama bulan April kemarin….
Yuk sekarang kita masuk ke kasus hari ini….
Sebelum masuk ke cerita kasus saya ucapkan syukur kepada Allah SWT yang telah memberikan banyak keindahan dalam hidup saya.. Terima kasih kepada orang tua saya yang telah membesarkan dan mendidik dengan penuh kasih sayang… Kepada istri dan anak-anak saya yang telah mendampingi dan memberikan support… Kemudian juga buat para staf pengajar di almamater saya yang telah memberikan ilmu yang bermanfaat..
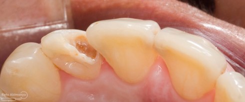
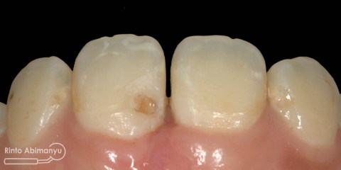
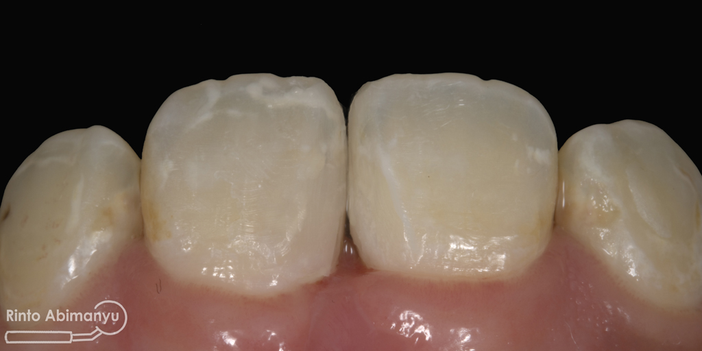
Kasus hari ini ceritanya datang seorang pasien wanita usia sekitar 50 an mengeluhkan gigi2 atas kirinya sering terselip makanan dan terkadang terasa senut-senut…
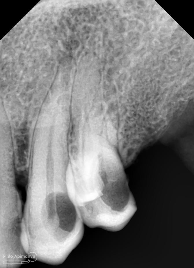
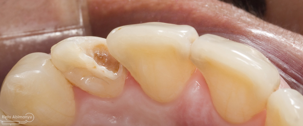
Pada pemeriksaan intra oral terlihat gigi 23 dan 24 mengalami karies dan cukup banyak sisa makanan terjebak disana…
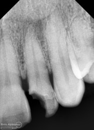
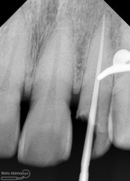
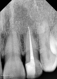
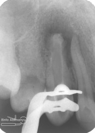
Pemeriksaan respon dingin pun menunjukkan hasil negatif, untuk menambah data dalam penegakan diagnosis maka dilakukan pengambilan ronsen pada gigi2 tersebut
Terlihat dari ronsen tersebut karies pada gigi 23 24 sudah mencapai pulpa… dari informasi pemeriksaan klinis dan ronsen maka didiagnosis gigi tersebut nekrosis.. Saya jelaskan kepada pasien mengenai kondisi gigi2 nya dan rencana perawatan yang akan saya lakukan…
Let’s the battle begin…..
Pertama saya lakukan anestesi infiltrasi dan kemudian memasang rubber dam untuk isolasi daerah kerja, dilanjutkan pembersihan karies dan pembukaan kamar pulpa.. Pada kasus ini pengerjaan dilakukan langsung pada dua gigi…
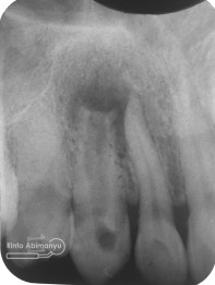
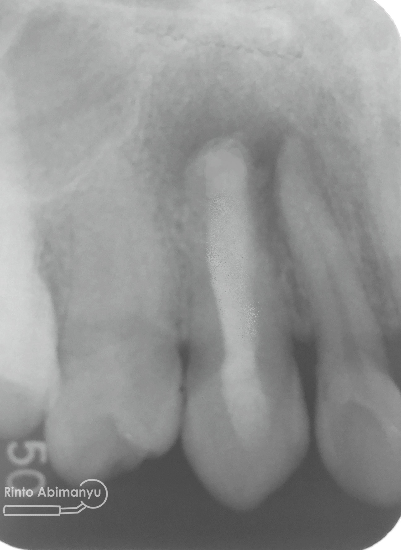
Setelah akses ke kamar pulpa didapat, lalur dirapihkan agar arah masuk file dapat lurus, maka selanjutnya adalah proses cleaning and shaping… Panjang kerja diukur menggunakan apex locator Root ZX mini (Morita) dan preparasi saluran akar menggunakan i3 Gold (Denjoy)… Irigasi memakai larutan NaOCl 5,25% dan diaktivasi menggunakan waterpik dan tip endoactivator…
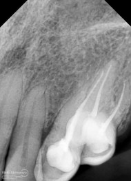
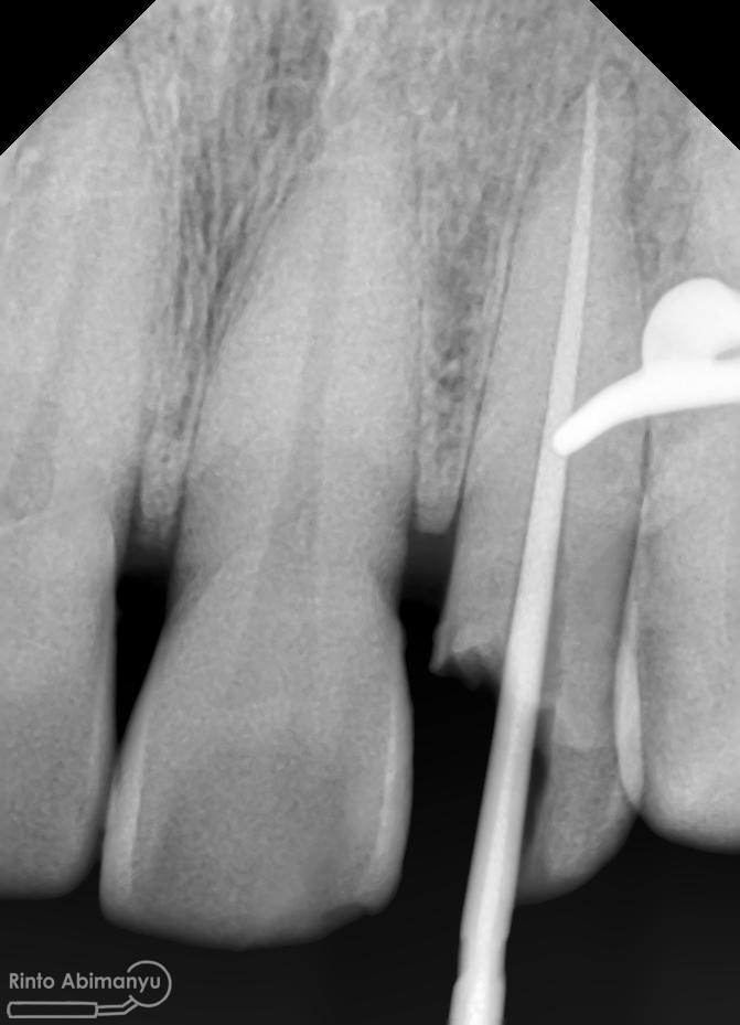
Setelah proses cleaning and shaping dilakukan trial gutta percha untuk melihat apakah kon utama yang akan kita gunakan pas dengan saluran akarnya…
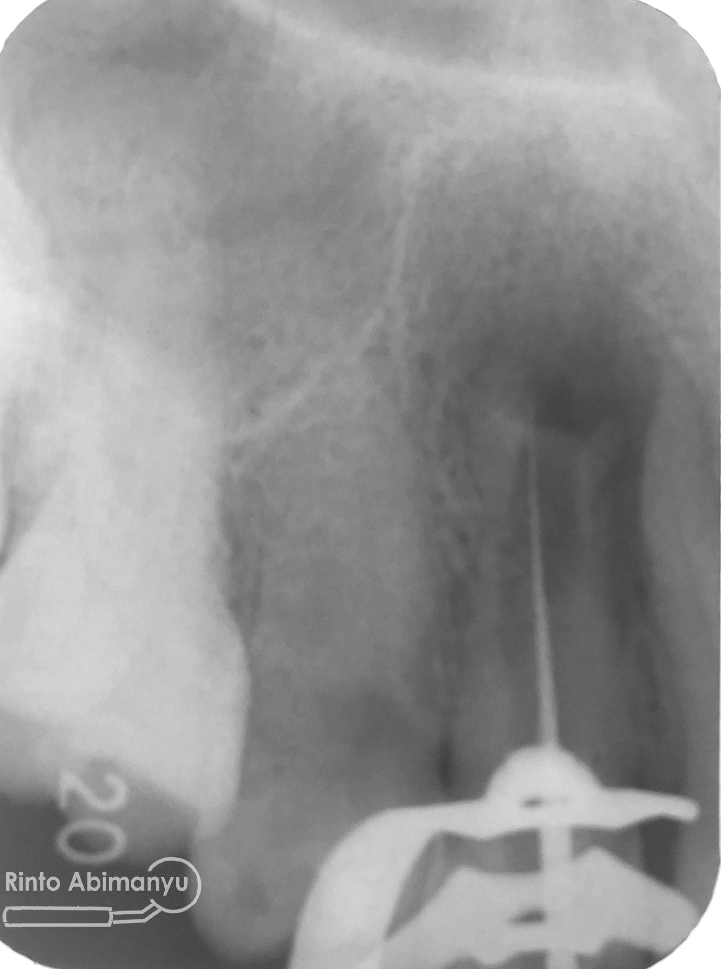
Setelah melihat hasil ronsen trial guttap maka pengisian siap dilakukan… Untuk pengisian saluran akar saya memakai tehnik warm vertival condensation memakai alat Element Obturation Unit (SybronEndo) dan siler AH plus (Dentsply)…
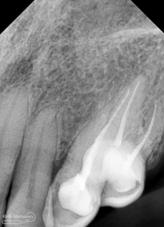
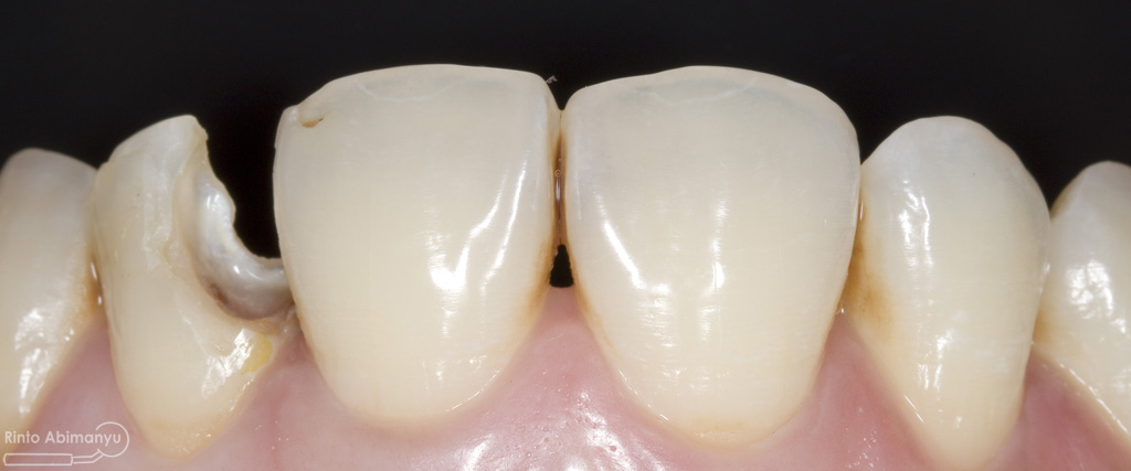
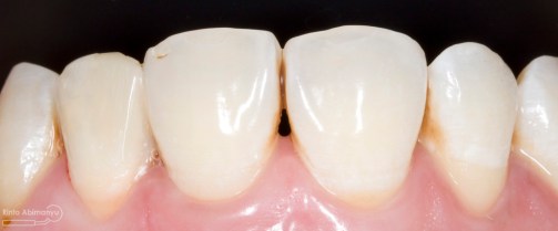
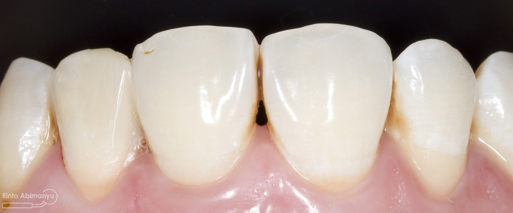
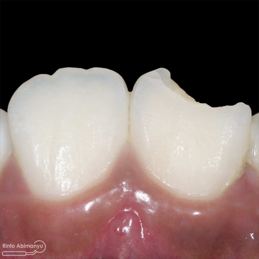
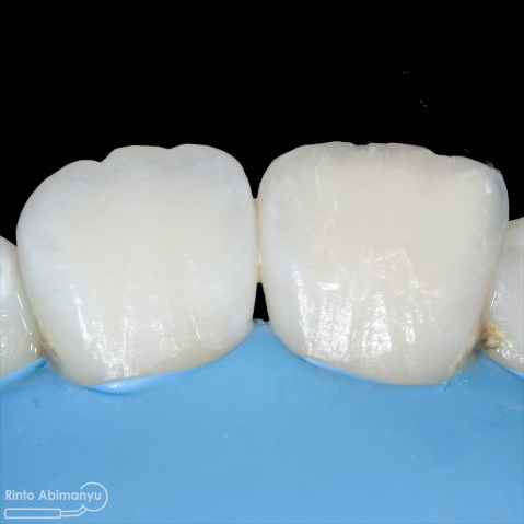
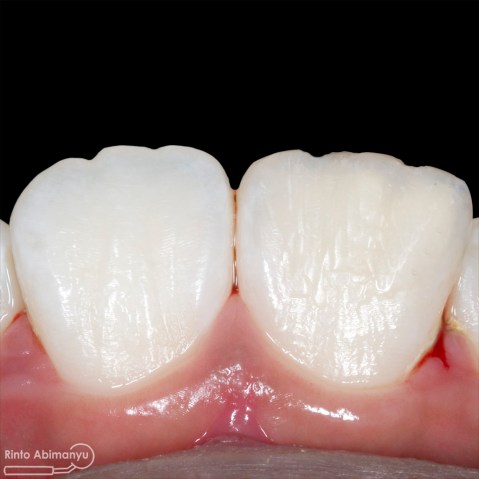
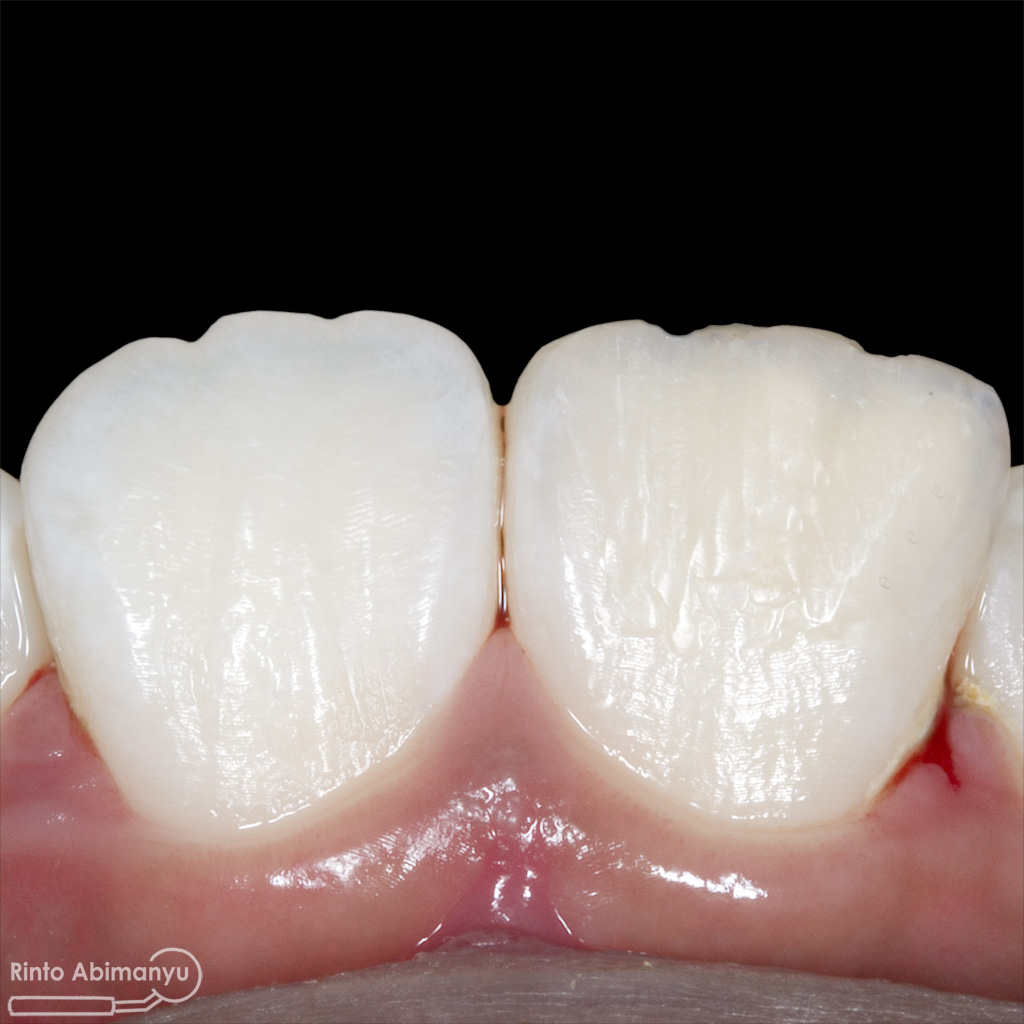
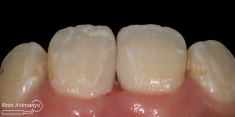
Setalah pengisian usahakan kamar pulpa dibersihkan dari sisa2 siler dan kotoran2 agar bahan adhesive yang kita pakai untuk restorasi dapat melekat maksimal.. Untuk basis saya menggunakan X-tra Base (Voco) kemudian diatasnya memakai komposit Z 350 XT (3M)…
Setelah itu dilakukan pengambilan ronsen kembali…
Alhamdulillah perawatan ini tidak ada kendala dan bisa diselesaikan dalam satu kali kunjungan langsung dua gigi… Ronsen sangat penting dalam prosedur perawatan saluran akar, jadi pesan saya adalah “No Xray, No Endo” 🙂





































































