Kasus 58: Crown Replacement pada Gigi 11

Assallamualaikum….

Selamat pagiiii….

Alhamdulillah kita ketemu lagi hehehe…. Udah lama juga ya dari postingan terakhir, 3 bulan !! 😀

Memang pas bulan2 itu saya sedang sibuk urusan pasien dan juga jadwal sharing di luar kota jadi waktu dan tenaganya udah banyak tersita disitu…

Nah ini foto2 dari kegiatan2 tersebut saya ambil dari IG saya @rintoabimanyu

Tanggal 11-12 Agustus saya mengisi di PDGI Jakarta Selatan

Kemudian tanggal 25-26 Agustus menjadi panitia di acara Bogor Dentistry

Tanggal 8-9 September kembali diajak tampil di Banda Aceh, disini saya mengisi 2 topik yaitu bleaching dan anterior restoration

Sesi hari pertama tentang bleaching

Sesi hari kedua tentang anterior restoration

Tanggal 22-23 September mengisi di acara Forkomil Univ. Baiturrahmah Padang

Lanjut di tanggal 29-30 September mengisi di acara Jakarta Great Dentistry PDGI Jakarta Pusat

dan.. 4-6 Oktober di PDGI Kalimantan Barat

Alhmadulillah jadwal2 yang padat satu per satu dapat diselesaikan dengan lancar, terima kasih buat PDGI setempat yang telah mengajak saya berbagi di acara seminarnya, juga para sponsor yang telah membantu terselenggaranya acara2 tersebut, dan para peserta yang luar biasa… semuanya ajiibjebreet…. 🙂

Oo iya di bulan Oktober ini saya masih ada satu jadwal sharing nih… di acara Pre-FORIL XII Univ. Trisakti…

Yuk buat temen2 yang ingin tahu tentang cara menambal gigi anterior biar kelihatan natural dan estetis kita ketemuan disini…

Lanjut ke kasus hari ini….

Sebelum masuk ke cerita kasus saya ucapkan syukur kepada Allah SWT yang telah memberikan banyak keindahan dalam hidup saya.. Terima kasih kepada orang tua saya yang telah membesarkan dan mendidik dengan penuh kasih sayang… Kepada istri dan anak-anak saya yang telah mendampingi dan memberikan support… Kemudian juga buat para staf pengajar di almamater saya yang telah memberikan ilmu yang bermanfaat..

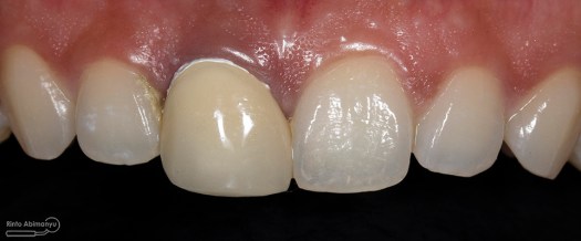
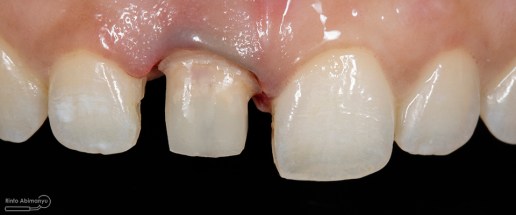
Kasus hari ini berawal ketika seorang pasien datang ke tempat saya dengan keluhan gigi depan atasnya terasa tidak nyaman setelah pemasangan crown

“Dok, gigi depan saya ini kok setelah dipasang crown masih terasa gak enak ya..”

“Trus juga crown nya keliatan beda sama gigi saya,” lanjut pasien.

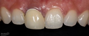
Setelah saya perhatikan memang crown tersebut terlihat lebih opaque dibanding gigi2 di sebelahnya…

“Awalnya kenapa ini sampe harus dibuatkan crown ?” tanya saya.

“Gigi saya sudah lubang besar banget dok, sisa giginya jadi tinggal sedikit setelah kotoran yang di lubang itu dibuang, dan kata dokternya sudah kena saraf juga.”

“Ooo berarti ini sudah dirawat saraf dan dilanjutkan crown,” kata saya.

“iya dok .”

Nah saya lalu melakukan pemeriksaan klinis di gigi pasien kemudian saya ambil foto ronsen juga untuk melihat kondisi dalamnya…

Kondisi awal saat pasien datang

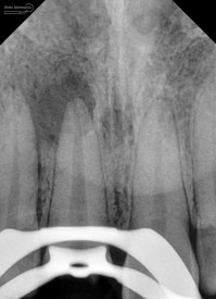
dan saya lebih terkejut ketika melihat foto ronsennya

ini dia ronsen nya….

dari ronsen ini terlihat saluran akar belum diisi dengan baik, kemudian juga ada pasak ulir yang tidak ada retensi sama sekali… di ujung apeks ada gambaran radiolusensi…

Saya coba jelaskan kepada pasien mengenai kondisi giginya tanpa menjudge operator sebelumnya karena saya tidak tahu kondisi saat itu disana bagaimana dan menjelaskan juga apa rencana saya terhadap gigi itu. Pada kasus2 gigi yang tidak dilakukan perawatan saluran akar dengan baik maka tentu fokusnya adalah melakukan perawatan saluran akar ulang, kemudian pada kasus ini akan dilanjutkan dengan pemasang pasak untuk retensi mahkotanya dan tentu saja terakhir pemasangan mahkota yang baru.

…Perawatan dimulai…..

Tahap pertama crown yang lama dibongkar, saya menggunakan skeler terlebih dahulu di sekeliling daerah servikal kemudian baru memakai crown remover untuk menariknya

Kondisi setelah crown dibongkar

Pengeluaran pasak menggunakan skeler kembali untuk awalnya kemudian lanjut menggunakan tang dengan memutar pasak itu berlawanan arah ulir

Kondisi setelah pasak berhasil dikeluarkan

Pasak ulir yang sudah dikeluarkan

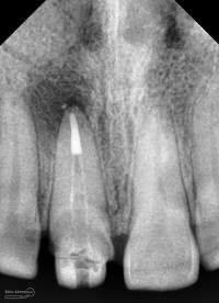
Saya lanjutkan untuk mengeluarkan guttap yang ada di saluran akar, gigi saya isolasi menggunakan rubber dam dan pengeluaran guttap hanya memakai headstroem saja karena guttap tersebut seperti melayang di dalam saluran akar.

Foto radiografis setelah pengeluaran gutap

Panjang kerja saya ukur menggunakan apex locator dan dikonfirmasi menggunakan ronsen

Foto radiografis konfirmasi panjang kerja

Preparasi saluran akar saya lakukan menggunakan file manual dengan gerakan brushing, karena saluran akar sudah cukup besar sehingga tidak perlu membesarkan ukurannya lagi. Saya maksimal kan irigasinya dengan diaktivasi menggunakan ultrasonik.

Foto klinis setelah proses cleaning and shaping selesai

Kemudian saya lakukan pengepasan guttap dan dikonfirmasi menggunakan ronsen juga…

Foto radiografis pengepasan guttap

Sip hasilnya sesuai harapan, gigi saya tutup dengan tambalan sementara serta crown yang lama dipasang kembali dan pasien pulang….

….Kunjungan kedua…

Pada kunjungan kedua ini tidak ada keluhan lagi dan saya rencanakan untuk pengisian sekaligus pemasangan pasak dan langsung preparasi untuk pembuatan crown yang baru.

Pengisian menggunakan tehnik warm vertical condensation, pada kasus ini saya mengisi hanya sekitar 5-7 mm dari apeks karena ruang selebihnya akan saya gunakan untuk pemasangan pasak. Inilah enaknya bila pengisian dilakukan dengan tehnik warm vertical condensation jadi kita tidak perlu repot membuang guttap lagi ketika akan memasang pasak.

Foto radiografis setelah pengisian

Lanjut percobaan pasak, pemilihannya dengan trial langsung di saluran akar kira2 mana ukuran yang pas dengan salurannya

Foto klinis percobaan pasak

Setelah dapat pasak yang pas, lanjut sementasi pasak menggunakan semen resin dual cured kemudian pembuatan core/inti memakai komposit dan langsung dipreparasi untuk pembuatan crown. Sebelum dicetak dipasangkan dulu retraction cord agar tepi akhiran preparasi dapat tercetak dengan jelas.

Foto klinis setelah selesai preparasi dan siap cetak

Foto klinis setelah preparasi dari arah insisal

Pencetakan menggunakan bahan cetak polyvinil siloxane, setelah itu pasien pulang dengan dipasangkan crown sementara yang sudah dibuat sebelumnya…

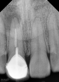
Foto radiografis setalah pemasangan pasak dan pembuatan core

…Kunjungan Ketiga…

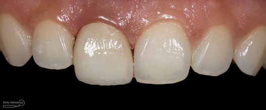
Hasil dari dental lab sudah datang…. dan…. alhamdulillah hasilnya sesuai ekspektasi, warna sesuai dengan permintaan

Warna crown sesuai dengan shade guide

dan ketika pasien datang pun tidak ada missed, crown langsung pas dan duduk manis di gigi pasien heheheh…. pada saat dicek oklusi dan gerakan fungsi juga tidak menimbulkan kendala… sementasi memakai semen resin…

Foto klinis setelah pemasangan crown

“waah…. bagus doook…” ucap pasien pas diberikan kaca untuk melihat hasilnya

Alhamdulillah ekspektasi pasien terpenuhi dan ini yang tidak bisa dinilai dengan apapun, kita sebagai operator rasanya tuh bahagia banget… iya gak sih? apa gue yang lebay ya hahaha 😀

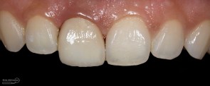
dan ini hasil ronsen final…

Foto radiografis akhir

Terlihat padat dan hermetis dari ujung sampai ke crown….

Nah ini resume foto2 nya untuk perbandingan

Usahakan selalu melakukan perencanaan pada setiap kasus yang kita kerjakan, karena dengan perencanaan yang baik maka kita bisa membayangkan hasil akhir yang akan dicapai….

Sampai disini cerita kasus hari ini, semoga terus bisa ketemu di kasus berikutnya… 🙂

Buat pasien2 yang ingin konsul ke saya atau buat teman2 sejawat yang ingin mengkonsulkan pasien, atau yang mau datang ngobrol2, saya bisa ditemui disini….

atau bisa dilihat langsung klik disini.

Teman2 yang belum bergabung di Run ForwaRd ayo lekas bergabung, tapi hanya khusus buat dokter gigi dan yang bergerak di bidang usaha kedokteran gigi aja ya 🙂 … Sudah ada 3700 an member lho, silahkan langsung klik link berikut

Follow instagram saya @rintoabimanyu untuk update kasus2 baru dan jadwal sharing 😉

Wassallamualaikum….

This entry was posted in Uncategorized and tagged , , , , , , , , , , , , , , , , . Bookmark the permalink.

7 Responses to Kasus 58: Crown Replacement pada Gigi 11

  1. Assalamualaikum doook.. kalau boleh saran, event dan kasus dibedakaan postnya saja dok,, lalu selanjutnya dibedakan perkategori.. soalnya saya mau save kasus ini di evernote tapi jadinya gak fokus lsg ke kasus, hehehe.. 🙂

  2. Mutia pratiwi's avatar Mutia pratiwi says:

    Assalamualaikum dokter rinto. Saya drg mutia pratiwi dari Padang, mau bertanya dok. Pada saat sementasi, Bagaimana cara membersihkan sisa sisa semen yang menempel di permukaan crown nya dok, sisa semen yg menempel membuat crown nya gak se kilat awal dok, jd agak butek. Apa ada bur khusus kah dok??kadang bahkan ada sisa semen di servikal gigi, saat dibersihkan, gingiva nya jd bleeding. Ada tips kah dok? Terimakasih dokter rinto. Wassalam.

    • Walaikumsalam dok…

      Sisa semen cara membersihkannya cukup mudah dok… tergantung dokter pakai semen apa, kalo pakai semen resin lebih mudah karena pada saat awal disinar 1 detik dulu, lebihan semennya akan mulai menjadi gel dan agak padat, pada saat inilah dibersihkan dengan cara dikorek saja pakai sonde atau ekskavator baru kemudian dilanjutkan sinar lagi sampai selesai… Setelah itu crown bisa dipoles lagi memakai pemoles khusus porselen..

      Bila dokter memakai GIC tipe I untuk sementasi, sering dicek lebihan semennya ketika mulai mengental seperti gel segera dibersihkan pada fase ini lebih mudah untuk membersihkannya dibandingkan ketika masih baru insersi atau bahkan ketika sudah keras

  3. Cendekia's avatar srmhrn24 says:

    Assalamualaikum dokter. Syaa ga tau apakah di kemudian hari dokter baca komentar saya tapi jujur saya ga tau lagi mau curhat ke siapa,mau ke dokter gigi, disini dokter giginya jarang. Terlebih di masa pandemi corona ini.

    Saya mau cerita tentang masalah mengenai gigi saya yang berdampak besar pada masalah kepercayaan diri saya. Saya jadi insecure,malu buat bicara,apalagi tertawa. Udah lama saya ga ketawa lebar-lebar grgr gigi saya ini.

    Saya usia 17 tahun dokter,jujur saja gigi saya udah banyak yang bolong,dan juga dicabut. Kayaknya cuma 3-4 gigi yang belum berlubang.
    September kemarin saya ke dokter gigi buat nambal gigi seri depan atas saya,sebelumnya saya pernah nambal gigi depan saya ini tapi karena udah lumayan lama jadi saya mau tambal lagi apalagi gigi saya yang ditambal berubah warna.

    Setelah ditambal,saya merasa kurang nyaman gitu bahkan tante saya bilang muka saya kelihatan aneh pas gigi udah ditambal. Dan memang saya merasa ga nyman,4 gigi seri depan saya yang ditambal,tambalannya kurang rapi. Gak sampai sebulan,tambalan gigi sayapun copot sebagian dan iti terus berlanjut,sekarang tinggal sedikit tambalan yang tersisa dan itu ga rapi. Saya merasa sejak ditambal,gigi seri bawah saya yang awalnya rapi jadi bertabrakan,dan pas saya bercermin nyatanya memang gitu. Gigi seri bawah saya jadi ga rapi padahal sebelum ditambal,gigi saya rapi. Keluhan lain yang saya rasakan adalah tambalan yang ga rapih dan kurang enak diliat. Gigi saya yang satunya juga terasa tipis setelah dokter gigi tsb menambal gigi saya,dan ini kadang ngilu.

    Semenjak saat itu,saya jadi lebih g pede sama diri saya sendiri,saya insecure,ngerasa minder untuk bicara apalagi tertawa. Bahkan ada teman saya yang nanya mengapa saya ga pernah tertawa ,adajuga yang bilang dia ga pernah liat gigi saua saat tertawa soalnya kalo saya tertawa,saya nutup mulut saya.

    Sebenarnya saya mau komplain dok,tapi saya malu dan takut sama dokternya.pas dokternya nambal gigi saya,expresinya ga enak dan kayak marah gitu,belum lagi dia nunjukin expresi jijik bahkan ungkapan jijik ke saya pas selesai nambal. Bukan cuma itu,,pas saya nyampein keluhan saya,dia menjawab “kerja rodi lagi kita” kira-kira seperti itu. Saya tersinggung dong,kerja rodi itu kerja paksa tanpa gaji/upah. Lah saya ke prakteknya bawa uang buat bayar,ga gratis. Keluhan ini ternyata bukan cuma dari saua,beberapa pasien jga ngerasa kayak gitu. Diperlakukan kurang baik.

    Semenjak penambalan gigi ini,saya jadi pendiam dan pemalu. Ditambah lagi,saya jadi takut buat berobat yang mesti ketemu sama dokter. Saya agak trauma.

    Makasih udah dengarin keluh kesah saya. Maaf kalo kepanjangan. Moga dokter sehat san bahagia selalu

Leave a comment