Assallamualaikum Wr Wb….
Selamat pagiiii….
Alhamdulillah hari ini bisa update kasus baru, gmana kabarnya teman2 ?
Saya mau menginformasikan kembali kalau kasus 1 sampai 39 sudah tidak dapat diakses lagi š¦
Nah sebelum masuk ke kasus seperti biasa saya akan mengucapkan syukur kepada Allah SWT yang telah memberikan banyak keindahan dalam hidup saya.. Terima kasih kepada orang tua saya yang telah membesarkan dan mendidik dengan penuh kasih sayang… Kepada istri dan anak-anak saya yang telah mendampingi dan memberikan support… Kemudian juga buat para staf pengajar di almamater saya yang telah memberikan ilmu yang bermanfaat..
….Kegiatan beberapa minggu kemarin…
Saya sempat diajak oleh Denjoy Indonesia dan Voco Indonesia untuk berbagi pengetahuan mengenai perawatan saluran akar dan veneer direk… Acara berlangsung 2 hari dan alhamdulillah bisa terlaksana dengan lancar… seruu banget… saya bisa ketemu dengan dokter2 gigi yang energik, semangat dan punya visi sama bahwa ingin memberikan yang terbaik untuk pasien yang dirawat… Terima kasih buat seluruh teman2 yang sudah datang semoga bermanfaat, terima kasih juga buat tim sponsor… kalian ajiibjebreeet… š
….Ok sekarang masuk ke cerita kasusnya…
Pada suatu hari…. (heheh kayak dongeng anak2)… pasien datang dengan keluhan setiap melakukan penambalan gigi selalu saja lepas… Sebenarnya pasien sudah agak putus asa dan sempat berpikir untuk dicabut…
“Dok, gigi saya ini bolak-balik ditambal tapi juga lepas lagi.. lepas lagi..”
“Dicabut aja deh dok ” lanjut pasien.
“Wah jangan dulu buru2 pengen dicabut, sapa tau masih memungkinkan dipertahakan, coba saya liat dulu keadaannya” kata saya.
Setelah saya liat keadaan klinisnya ini yang saya lihat…
Gigi 46 terlihat kavitas masih ada karies yang sangat luas dan ada spot sudah terjadi tembus ke kamar pulpa.
Kemudian dilakukan foto ronsen gigi tersebut…
Terlihat kavitas sudah mengenai kamar pulpa, dan dari hasil tes respon dingin serta tes perkusi menunjukkan hasil negatif… Kondisi yang saya temukan diinfokan ke pasien dan dijelaskan rencana perawatan untuk giginya, setelah pasien mengerti dan menyatakan setuju perawatan baru dimulai…
…Perawatan dimulai….
Seluruh jaringan karies dibuang menggunakan bur tungsten carbide low speed, dilanjutkan pembuatan artificial wall menggunakan komposit dengan bantuan matriks greatercurve.
Setelah artificial wall selesai dilakukan pemasangan rubberdam dan pembukaan kamar pulpa.. Untuk penjajakan awal digunakan K-File no.8 dilanjutkan no.10 terus sampai no. 20, ini dimaksudkan juga untuk mengamankan jalur luncur (secured the glide path) sebagai persiapan sebelum file rotari masuk…. Pengukuran panjang kerja menggunakan apex locator Root ZX mini (Morita)..
Cleaning and shaping menggunakan i3 Gold (Denjoy) dan setiap pergantian instrumen diirigasi menggunakan NaOCl 5,25%…
Setiap saluran dikeringkan menggunakan micro tip suction dan paper point kemudian kavitas ditutup tambalan sementara… selesai perawatan hari pertama….
….Kunjungan kedua….
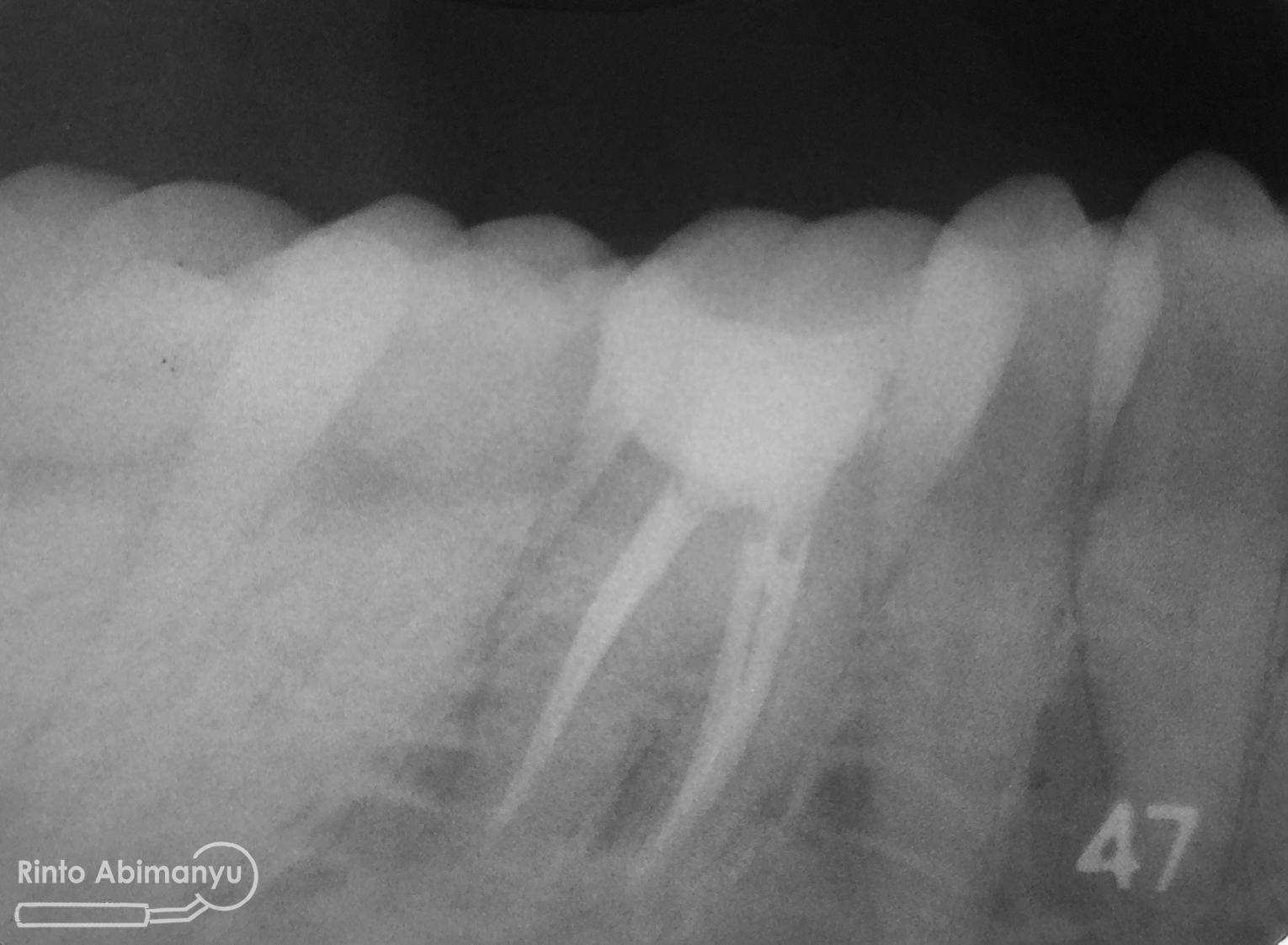
Pasien datang kembali dan tetap tidak ada keluhan subjektif sehingga saluran akar siap diisi. Pengisian memakai tehnik warm vertical condensation menggunakan alat Element Obturation Unit (SybronEndo)…
Sebagai basis digunakan low shrinkage stress flowable composite SDR (Dentsply) dan diatasnya memakai Z350XT (3M)…
Alhamdulillah dari foto ronsen terlihat pengisian sepanjang kerja dan hermetis, tambalan di bagian mahkota juga terlihat rapat dan homogen….
….Kunjungan ketiga…,
Lho ??? kok ada kunjungan ketiga ? Bukannya perawatan udah selesai ?
Hehehe… untuk kasus ini memang direncanakan untuk restorasi definitifnya menggunakan crown jadi pasien hari ini datang lagi untuk preparasi dan pencetakan crown…
Sebelum dipreparasi gigi saya cetak menggunakan bahan cetak putty polyvinyl siloxane yang nantinya cetakan ini selesai preprasi digunakan untuk membuat crown sementara…
Setalah itu gigi dipreparasi dengan akhiran tepi preparasi chamfer, preparasi kemudian dihaluskan menggunakan arkansas stone dan juga rubber point… Sebelum pencetakan, sulkus gingiva diselipkan retraction cord ukuran #000 yang sebelumnya telah dicelupkan di larutan aluminum chloride 25%…
Setelah selesai pencetakan gigi dibuatkan crown sementara menggunakan cetakan yang telah dibuat sebelum preparasi, cetakan tersebut diisi dengan bahan crown sementara self cured composite dan dimasukkan ke gigi yang selesai dipreparasi.. Kurang lebih 3 menit lalu cetakan diangkat dari gigi dan didalam cetakan sudah terbentuk crown sementara dilanjutkan dengan trimming untuk membuang kelebihan bahannya… Crown sementara disemenkan ke gigi memakai Freegenol (GC)…
Sayang banget nih pas proses pembuatan crown sementara ini gak sempat difoto setiap tahapnya karena memang waktu yang sangat sempit, mudah2an di lain waktu bisa difoto ya tahap2 ya….
….Kunjungan keempat….
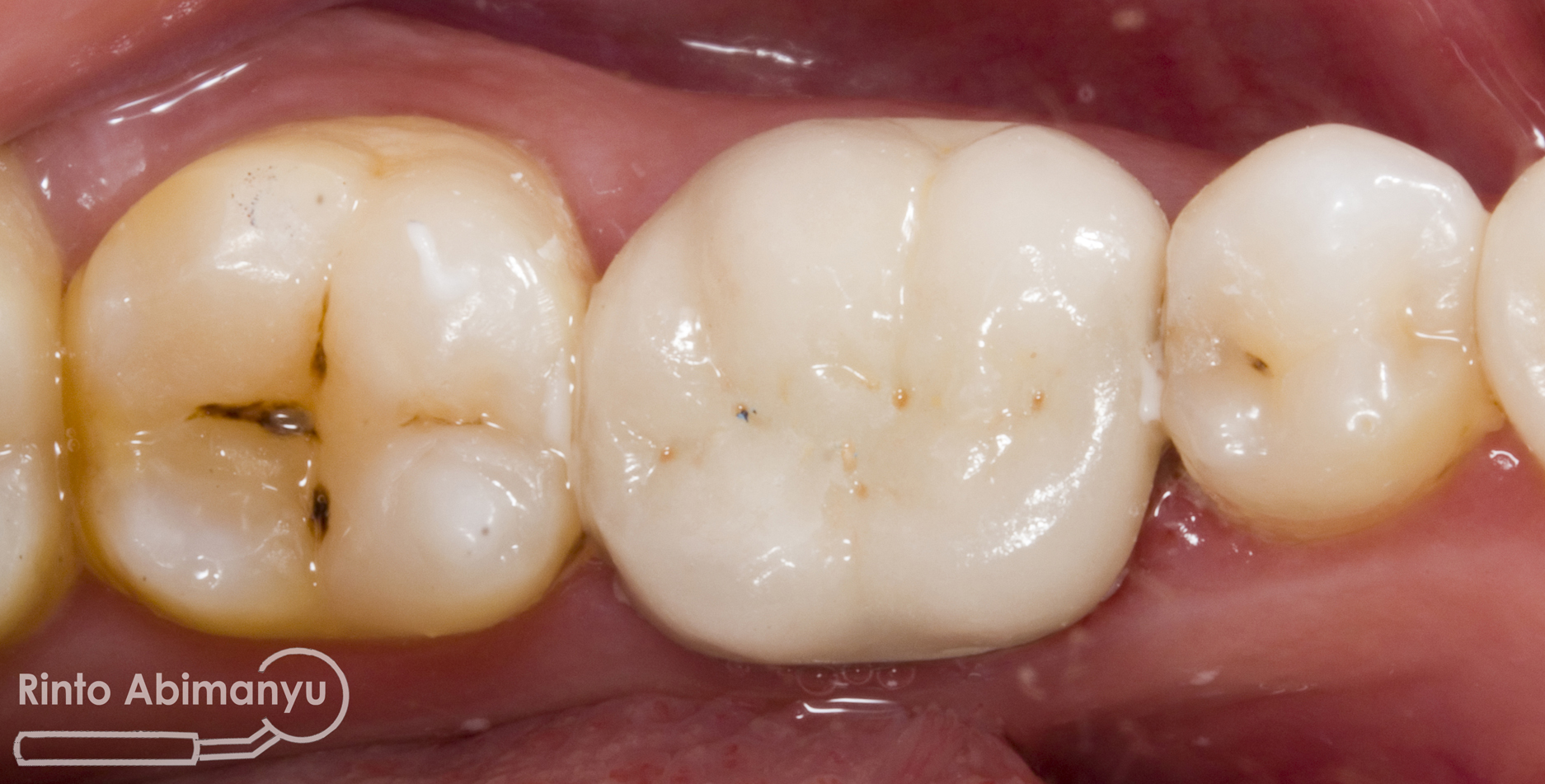
Crown yang saya buat adalah Porcelain Fused to Metal (PFM) dan begini tampilannya sesaat setelah dikirim dari lab…
Saat pasien datang crown sementara dilepas, dan semen yang tersisa dibersihkan dengan skeler dan brush…
Dilakukan percobaan crown, dicek retensi dan resistensi, integritas tepi, titik kontak, oklusi dan warna… setelah semua tidak ada kendala maka siap dilakukan penyemenan… Semen yang dipakai adalah GIC Fuji I (GC)..
Alhamdulillah prosesnya berjalan lancar dari mulai perawatan saluran akarnya sampai dengan pembuatan crown… mudah2an awet dan tidak ada masalah… amiiiin….
Pada kasus ini yang bisa menjadi catatan adalah lakukan pemeriksaan gigi secara menyeluruh dan teliti, sehingga kalau memang kasusnya sudah mengenai kamar pulpa tidak langsung ditambal sehingga pasien langsung mendapatkan perawatan yang sesuai kasusnya…















Assalamualaikum,,sebelumnya salam kenal dok,saya Irfan,.saya termasuk fansnya drg Rinto..š
Ada beberapa pertanyaan dok..GPP ya..hehehe
1.dlam kasus ini dan pada kebanyakan kasus Endo lainnya,Sealer yg dokter gunakan bahan dasarnya apa ya?klo berkenan boleh tw merk-nya apa dok?
2.pada coronal seal dengan resin komposit..prosedurnya apa sama seperti prosedur penumpatan biasa?ada etsa,bonding baru aplikasi kompositnya?
3.untuk file rotarinya biasanya drg Rinto gunakan sekali pakai sesuai anjuran produsen,ato bagaimana dok?klo boleh tw i3 goldnya nyari kmn y dok?saya masuk Ig denjoy Indonesia belum ada tanggapan..
Terimakasih sebelumnya dok..š
Walaikumsalam dok, salam kenal juga.. š
Wah jangan fans laah, termasuk teman saya gitu, saya kan bukan artis hehehe…
Ok saya coba jawab pertanyaannya ya..
1. Bahan dasar siler yg saya gunakan adalah resin merk AH plus dari Dentsply, terkadang saya pakai juga Syntex dari Cerkamed
2. Betul dok, prosedurnya sama tetap melakukan etsa terlebih dulu dilanjutkan bonding baru aplikasi kompositnya
3. Untuk rotary sebaiknya memang single used/sekali pakai, tetapi saya memakai untuk 3 pasien saat ini dan sedang pelan2 mencoba kearah sana… Tetapi untuk K-File yg saya pakai no.8,10,15 itu semua single use…
Bisa coba kontak Azuri Dental untuk pembelian i3 Gold dok, dan saya sudah teruskan juga keluhan dokter ke admin Denjoy Indonesia..
Terima kasih sama2 dok…. sukses selalu ya…
Terimakasih banyak atas jawabannya dok..senang sekali rasanya..š
Nanya lagi ya dok..hehehehe
Setelah obturasi..nunggu berapa lama baru bisa dilakukan aplikasi coronal seal?
Satu lagi dok.(sementara ini..hehehe)
Kalo dihadapkan dengan kesulitan akses ke lab Rontgen dan kebetulan masih belum punya sendiri (semoga segera diberi rejeki punya Rontgen sendiri..amiin)..apa masih bisa melakukan RCT?kalo bisa, caranya bagaimana ya dok?