Assallamualaikum Wr Wb….
Selamat pagiiii….
Kita ketemu lagiii π
Hari ini saya ingin berbagi kasus lagi, tapi mungkin ada yang terlihat beda di foto2 hari ini, karena mulai dari postingan ini semua foto2 kasus akan ada logonya π
Sebagai pengganti watermark yang selama ini saya pakai sudah hampir 3 tahun… Ini juga karena masukan dari para pembaca website ini yang mengatakan “dok fotonya jangan pake watermark lagi deh ganti pake logo aja kecil… biar gak terlalu blocking foto”.
Setelah saya pikir2 boleh juga nih buat penyegaran hehehe….
Saya juga mau memberikan ucapan selamat buat teman2 di 3M Indonesia yang kemarin sukses melaksanakan acara 3M Dental Expo di Hotel Shangri-La Jakarta.. ditunggu acara2 keren berikutnya…. π
…dan seperti biasa sebelum masuk ke kasus seperti biasa saya ingin mengucapkan syukur kepada Allah SWT yang telah memberikan banyak keindahan dalam hidup saya.. Terima kasih kepada orang tua saya yang telah membesarkan dan mendidik dengan penuh kasih sayang… Kepada istri dan anak-anak saya yang telah mendampingi dan memberikan support… Kemudian juga buat para staf pengajar di almamater saya yang telah memberikan ilmu yang bermanfaat..
….let the story begin
Kasus yang akan saya sharing hari ini adalah salah satu bentuk yang saya suka.. kenapa? karena kasus hari ini adalah kasus rujukan dari seorang prostodontis.. lho? trus ? iya karena biasanya di rujukan tersebut ditulis untuk dilakukan perawatan saluran akar karena akan dibuatkan restorasi indirek… nah disini enaknya kan, saya hanya perlu mengerjakan psa nya tanpa bingung milih restorasi akhirnya π
Pasien datang dengan membawa rujukian bahwa giginya akan dibuatkan crown tetapi diminta untuk dilakukan perawatan saluran akar terlebih dahulu…
Begini kondisi awalnnya…
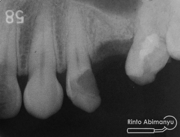
dan ini ronsennya…
Ok dari keadaan klinis saya lihat gigi 24 dengan karies yang cukup dalam dan dinding distal sudah tidak ada, dari ronsen terlihat kavita sudah mendekati kamar pulpa. Ketika dilakukan perkusi tidak ada respon, juga ketika dilakukan tes respon dingin juga tidak ada reaksi…
Perawatan saya mulai dengan membuat artificial wall, matriks menggunakan greatercurve dan bahan tambalnya komposit Z 350 XT (3M)… Tetapi jaringan karies dibersihkan dulu menggunakan bur carbide low speed..
Kondisi gigi pada saat pemasangan matriks..
Setelah dinding buatan jadi, mulai dilakukan akses opening untuk membuka kamar pulpa, setelah itu outline opening dirapihkan menggunakan skeler ultrasonik dengan tip Canal Access Preparation (Satelec).
Penjajakan awal menggunakan k-file no.8 dan diteruskan no.10… Setelah k-file terakhir dirasa cukup longgar keluar masuk saluran akar kemudian mengukur panjang kerja menggunakan apex locator.. Sebelum mulai preparasi saluran akar dilakukan kembali pemulusan jalur luncur menggunakan ProGlider (Dentsply)… Untuk preparasi saluran akar digunakan file rotary i3 Gold (Denjoy).. Setiap pergantian instrumen diirigasi dengan NaOCl 5,25 % dan diaktivasi secara ultrasonik menggunakan tip Irrisafe (Satelec).
Kondisi klinis setelah preparasi saluran akar….
Kemudian dilakukan pengisian menggunakan tehnik warm vertical condensation memakai alat Element Obturation Unit (SybronEndo) dan siler AH plus (Dentsply)…
Tampilan setelah pengisian…
Untuk coronal seal memakai low shrinkage stress flowable composite SDR (Dentsply) dan atasnya ditutup dengan komposit packable….
Pengambilan ronsen dilakukan pada gigi tersebut…
Alhamdulillah rangkaian perawatan bisa selesai dalam satu kunjungan sehingga pasien tidak terlalu repot dan bisa melanjutkan perawatannya di sejawat pengirim… π
Sampai disini cerita kasus untuk hari ini…. Mudah2an terus bisa update… Buat para pembaca yang baru pertama kali mampir di website saya silahkan lihat2 juga kasus2 sebelumnya yang ajiiibjebreeet juga π
Β Berikut jadwal dan tempat praktek saya…







Assalamualaikum do..
Maaf dok saya br pertama nih buka web dokter, dan subhanallah membantu sekali utk update kasusnya
Tanya ya dok..
1.Dok NaOCl carinya dmn ya dok.. gak ada yg jual rata rata jualnya NaCl
2. pin irrisafe itu spt apa.. saya punya scaller art..apakah bs dipakai jg utk kasus spt diatas?
Cara pemakaiannya bgmn.. krn selama ini blm pernah dipakai utk endo, tp hanya utk scaling saja..
Terimakasih dokter..
Walaikumsalam dok….
Untuk NaOCl bisa didapatkan di dental supplier dengan berbagai pilihan konsentrasi…
Irrisafe bisa dokter liat di internet, bentuknya tip panjang dan dihubungkan ke mesin scaler khusus yg dapat diatur frekwensi Hertz getarannya..
dental supplier apa ya dok.. naocl yg biasa dokter pakai (merknya)
Assalamu’alaikum dok
Maaf,izin bertanya dok, pada kasus ini bila disondasi,dipalpasi,dithermis bagaimana reaksi yg timbul pada gigi tersebut?
Terimakasih dokπ
Dari post dr. Yang saya baca hampir semua PSA dilakukan pas kunjungan pertama dan menggunakan rontagen.saya jadi ragu melanjutkan PSA…. Karna saya sudah melakukan 3x kunjungan tapi dr. nya bilang sarafnya belum mati jadi perlu di beri obat lagi dan ditambal sementara kembali dan giginya nya tidak perlu di rontagen dulu.menurut dr rinto amankah PSA yg akan saya lakukan bersama dr tersebut??? Karna dilaksanakan tanpa foto rontagen???
PSA mutlak harus dilakukan dengan rontgen, karena tanpa itu kita tidak bisa mengetahui apa yg terjadi di dalam giginya