Kasus 46: Gigi 43 pulpitis kronis

Assallamualaikum Wr Wb….

Selamat siaang….

Alhamdulillah akhirnya kita ketemu lagiii 🙂

Apa kabar semua? Terima kasih buat yang masih main ke website ini, masih nungguin kasus2 baru…

Sudah sebulan lebih belum update kasus baru lagi karena saya sedang mencoba upgrade foto2 kasus saya agar lebih bisa menampilkan detil kondisi gigi yang sedang dirawat…

Trus juga karena banyak liburan long weekend jadi dimanfaatkan buat jalan2 ke luar kota 🙂

Sebelum masuk ke kasus seperti biasa saya ingin mengucapkan syukur kepada Allah SWT yang telah memberikan banyak keindahan dalam hidup saya.. Terima kasih kepada orang tua saya yang telah membesarkan dan mendidik dengan penuh kasih sayang… Kepada istri dan anak-anak saya yang telah mendampingi dan memberikan support… Kemudian juga buat para staf pengajar di almamater saya yang telah memberikan ilmu yang bermanfaat..

…and this is the case

Seorang pasien wanita datang dan mengatakan

“Dok, saya kalo makan sering nyelip nih di gigi ini” sambil nunjuk ke gigi daerah depan bawah kanan…

Terus saya tanya “Terasa sakit gak bu?”

“Dulu sih pernah sakit banget tapi sekarang kayaknya gak deh”

“Oo ok… saya coba liat dulu ya, mari bu silahkan duduk disini”

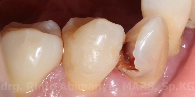
Saya mulai lakukan pemeriksaan dan ini yang saya temukan

Keadaan awal gigi 43

Gigi 43 mengalami karies dan sudah terlihat perforasi ke kamar pulpa, perkusi negatif, dan respon dingin menunjukkan positif. Kemudian dari ronsen terlihat seperti ini..

Radiografis gigi 43

Wah saluran akarnya agak “meliuk’ nih hehehe… Saya suka deg2an kalau mendapatkan saluran yang seperti ini, karena pengerjaannya harus hati2 dan sabar…

Ok setelah saya mendapatkan gambaran detil kasus gigi pasien ini, lalu saya jelaskan secara detil tentang segala sesuatu yang berkaitan dengan rencana perawatannya…

Perawatan dimulai….

Jaringan karies saya buang semua menggunakan bur carbide low speed, kemudian dibuatkan sedikit artificial wall…

Pemakaian matriks pada pembuatan artificial wall

Matriks yang saya pakai adalah saddle matrix dengan spring clip, matriks ini cukup murah dan mudah penggunaannya… sejawat harus punya nih.. cieee promosi 😛

Kendala berikut yang saya temui adalah pada saat pemasangan rubber dam, karena posisi gigi yang crowding sehingga clamp tidak bisa saya pasang pada gigi tersebut..

Akhirnya clamp saya pasang pada gigi 44 dan dibantu dental floss pada gigi 43 nya…

Gigi lalu dianestesi dan mulai dibuat akses… Penjajakan awal saya gunakan K-File no.8 dengan gerakan watchwinding perlahan, saya khawatir kalau terburu2 bisa membuat ledge… Setelah dirasa file nomer tersebut dapat keluar masuk dengan lancar saya lanjutkan dengan no.10 dengan gerakan yang sama….

Setelah juga didapat kondisi yang lancar keluar masuk, dilakukan pengukuran panjang kerja menggunakan apex locator (Root ZX mini – Morita)… dan dilanjutkan dengan memuluskan jalur luncur menggunakan ProGlider (Dentsply)… Pada kasus ditemukan saluran akar yang agak berliuk seperti ini, tahap penjajakan dari no.8 sampai pemulusan jalur dengan ProGlider sangat penting sebelum kita memulai preparasi saluran akarnya, agar terhindar dari masalah seperti ledge, jarum patah, instrumen tertahan tidak bisa masuk lebih dalam dan sebagainya…

Preparasi saluran akar saya gunakan file rotary i3 Gold (Denjoy), file ini mempunyai spesifikasi yang cukup baik dan yang pasti muraaah heheheheh….. Setiap pergantian file diirigasi menggunakan NaOCl 5,25%… Aktivasi larutan irigasi menggunakan power flosser dengan tip Endoactivator… File akhir preparasi 25/.06…

Gigi 43 setelah preparasi saluran akar

….Lanjut ke pengisian

Pada hari itu juga langsung dilakukan pengisian saluran akar menggunakan Element Obturation Unit (SybronEndo)… Untuk basis setelah pengisian saya menggunakan low shringkage stress flowable composite SDR dari Dentsply, dilanjutkan atasnya menggunakan packable composite Z 350 XT dari 3M…

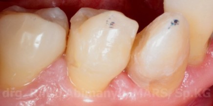
Foto klinis sesaat setelah pengisian….

Setelah dilakukan pengisian

dan ini foto klinis setelah selesai penambalan…

Kondisi akhir setelah selesai perawatan

….Dan inilah saat yang ditunggu2 melihat hasil ronsen akhir perawatan, hehehe apakah hasilnya sesuai harapan atau tidak..

Radiografis gigi 43 selesai perawatan

Alhamdulillaaaah… saluran yang sedikit meliuk itu berhasil diisi dengan baik… 🙂

Saya lega dan pasien pun senang heheheh…

Pada kasus ini yang bisa dijadikan catatan adalah : dalam menghadapi saluran akar yang agak ada belok2 usahakan sabar dalam penjajakan awal, pastikan pada saat penjajakan tersebut file yang digunakan sudah dapat keluar masuk tanpa hambatan sehingga akan memudahkan file rotary yang kita gunakan untuk meluncur di saluran akar itu…

Oo iya ada info seminar besar nih…

3M Dental Expo

Tanggal 20-21 Mei 2017, Hotel Shangri-la Jakarta, diisi oleh pembicara2 hebat dari dalam dan luar negeri…. info lebih lengkap bisa dilihat di account Facebook Cobra Dental… Jangan sampai ketinggalan ya…. sampai ketemu disana 🙂

Sampai disini cerita kasus untuk hari ini…. Mudah2an terus bisa update… Buat para pembaca yang baru pertama kali mampir di website saya silahkan lihat2 juga kasus2 sebelumnya yang ajiiibjebreeet juga 🙂

 Berikut jadwal dan tempat praktek saya…

 

atau bisa dilihat langsung klik disini.

Teman2 yang belum bergabung di Run ForwaRd ayo lekas bergabung… Sudah ada 3218 an member lho 🙂 silahkan langsung  klik link berikut

Add Facebook saya dan follow instagram saya juga untuk update kasus2 baru 😉

Sampai ketemu di kasus berikutnya ya…

Wassallamualaikum Wr Wb….

This entry was posted in Uncategorized and tagged , , , , , , , , , , , , , , , , , . Bookmark the permalink.

5 Responses to Kasus 46: Gigi 43 pulpitis kronis

  1. Rizki's avatar Rizki says:

    Selamat sore dok, mau tanya.. pd waktu dokter meng-anestesi, dokter menggunakan citoject atau spluit? Jika menggunakan citoject, apakah meng-anestesinya ke sekeliling gigi (jar periodontal)? Atau menggunakan infiltrasi intra pulpa? Mohon pencerahannya.. terimakasih😊

  2. rika's avatar rika says:

    dok saya blm paham bgt ne dok anastesi intrapulpa..jarum dimasukan ke dalam orifice saluran akarnya kan dok baru penetrasi ..pake citoject adaptasina susah bgt ya dok …mhon pencerahannya dok terima kasih

  3. rika's avatar rika says:

    bisa karena terbiasa ya dok..sip mkasi dok

Leave a comment