Assallamualaikum Wr Wb….
Selamat Pagiiiii…….
Sudah hampir 2 bulan ya dari posting kasus yang terakhir, alhamdulillah hari ini bisa posting kasus lagi…
Baru di bulan ini saya sempat posting karena bulan kemarin lagi sibuk2 nya… Tanggal 21 dan 22 Juli 2016 saya tampil bersama Prof. Gianluca Gambarini (Italia) dalam acara M3i Master Course, persiapan untuk acara ini cukup menyita waktu saya… Alhamdulillah acara ini bisa berjalan lancar dan saya senang karena bisa satu panggung dengan beliau, terima kasih untuk Ikorgi Jakarta Barat, pimpinan dan tim M3i (Mentari Murni Mulia) serta seluruh peserta yang sudah hadir… It’s means a lot for me…
Ini sebagian foto2 dari acara itu…

Pada saat hands on peserta saya minta mendekat agar bisa melihat secara langsung dan mendapatkan “look and feel” nya waktu melakukan restorasi
Setelah acara tersebut tanggal 25-27 Juli 2016 saya mendapatkan kesempatan untuk ikut seminar dan hands on Prof. Angelo Putignano, beliau ini adalah pendiri Style Italiano…. Terima kasih untuk 3M Indonesia yang telah memberikan kesempatan yang sangat luar biasa ini.. Di sela2 acara tersebut juga diadakan meet up antara KOL (Key Opinion Leader) 3M, selain untuk mengenalkan line up produk baru juga untuk saling mengenal satu sama lain antar KOL…

Inilah momen yang berharga.. ikut hands on dan bisa berdiskusi langsung dengan Prof. Angelo Putignano

Melihat langsung Prof. Angelo mengerjakan restorasi merupakan bentuk proses pembelajaran tersendiri bagi saya…
Alhamdulillaah saya bersyukur sekali mendapatkan pengalaman2 yang sangat berharga seperti ini dan mudah2 an apa yang saya dapatkan bisa saya bagikan dengan maksimal ke teman2 semua…
Nah jadwal sharing saya berikutnya tanggal 21 Agustus 2016 di acara Dentalpreneurship 2.0 PDGI Kota Bekasi… yuuk buat teman2 yang berminat silahkan daftar ke contact person berikut
Siip sekarang kita lanjut ke kasusnya ya…
Seperti biasa saya ingin mengucapkan syukur kepada Allah SWT yang telah memberikan banyak keindahan dalam hidup saya.. Terima kasih kepada orang tua saya yang telah membesarkan dan mendidik dengan penuh kasih sayang… Kepada istri dan anak-anak saya yang telah mendampingi dan memberikan support… Kemudian juga buat para staf pengajar di almamater saya yang telah memberikan ilmu yang bermanfaat..
Kasus hari ini mengenai restorasi pada gigi 11, yang berbeda dari kasus sebelumnya adalah pada kasus ini saya menghadapi kesulitan dalam menentukan warna dari gigi yang akan direstorasi… Begini ceritanya…
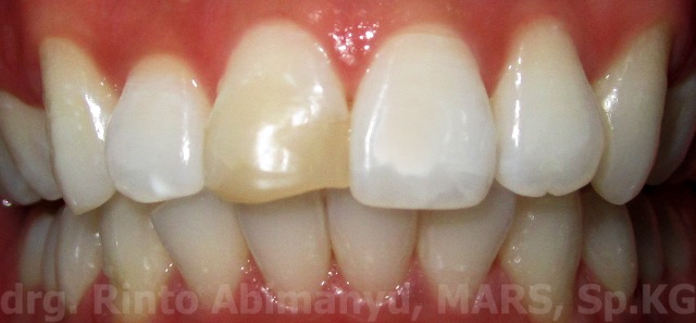
Pasien datang dengan keluhan gigi depan atasnya pernah patah dan sudah ditambal, tetapi bentuk dari tambalannya tidak sesuai dengan anatomi gigi normal sehingga pasien merasa kurang nyaman bila bertemu dengan orang lain… Ditambah warna tambalan tersebut mulai berubah..
Nah disinilah awal permasalahannya.. karena gigi tersebut sudah bentuknya beda ditambah sekarang warna tambalannya cenderung berubah sehingga pasien berinisiatif memakai produk pemutih gigi yang dijual lewat online shop dengan harapan warna tambalan yang berubah bisa kembali lagi.. Pemakaiannya tidak tanggung2, seminggu sekali !!! 😕
Apa yang terjadi?? Gigi2 pasien mengalami overbleached sehingga terjadi white spot yang parah di seluruh gigi 😦
Begini kondisi saat datang…
Saya jelaskan kepada pasien kondisi yang terjadi pada giginya dan menginstruksikan agar tidak lagi memakai obat pemutih gigi yang dia pakai… Kemudian saya jelaskan juga mengenai kesulitan pemilihan warna untuk menambal giginya, karena persediaan warna saya yang paling putih masih kurang putih bila dibandingkan keadaan gigi sekitarnya..
Pasien mengerti dengan kendala yang saya hadapi dan tetap ingin dilakukan penambalan, kata dia walaupun warna nya kurang mirip sedikit asal bentuknya bagus gak masalah… yak okelah kalo begitu… restorasi kita mulai….
Saya pasangkan rubber dam pada gigi2 anterior atas tersebut… Tambalan lama saya cek adaptasinya, saya periksa sekeliling.. kesimpulannya perlekatannya masih baik.. Akhirnya saya putuskan untuk tidak membongkar seluruh tambalan tetapi hanya membuang lapisan permukaan untuk saya lakukan direct veneer… Preparasi saya lakukan menggunakan bur diamond dengan tip rounded, sehingga akhiran preparasi saya bisa berberntuk chamfer..
Setelah preparasi terlihat adaptasi tambalan yang lama masih cukup baik sehingga saya tetap pada rencana untuk tidak membongkarnya… Kemudian dilanjutkan dengan proses etsa dan bonding…
Bagian insisal saya tambahkan sedikit agar panjangnya sama dengan gigi 21 menggunakan warna translusen lalu untuk lapisan pertama saya memakai warna B1 Body dari Z 350 XT (3M)
Setelah itu diaplikasikan warna email B1 Enamel Z 350 XT (3M) sampai menutupi seluruh permukaan gigi
Kelebihan bahan tambal di trimmed menggunakan scalpel no.12 dan bur carbide, sekaligus dilakukan pembuatan tekstur permukaan transition line, developmental groove, perykimata dilanjutkan dengan pemolesan menggunakan Enhanced (Dentsply) dan Astro brush (Ivoclar)…
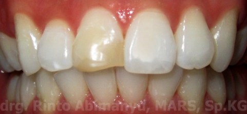
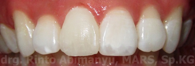
Begini hasil restorasi giginya…
Foto diatas terlihat gigi masih belum fully rehydrated, bentuk outline sudah lebih baik dari sebelumnya, hanya saja warna memang sulit menyamai gigi sebelahnya yang sudah mengalami overbleached, walaupun begitu pasien sangat puas dengan hasilnya…
Mudah2an dia juga mau merubah kebiasaannya yang selalu memakai obat pemutih gigi secara berlebihan….
Pada kasus ini yang bisa dijadikan catatan adalah direct veneer bisa menjadi pilihan restorasi bila memang ada indikasinya, salah satunya adalah defek dari gigi anterior baik secara anatomi maupun tekstur…
Jadi kalo gigi gak kenapa2 ngapain harus diveneer kan 🙂
Sampai disini cerita kasus untuk hari ini…. Buat para pembaca yang baru pertama kali mampir di website saya silahkan lihat2 juga kasus2 sebelumnya yang gak kalah menarik 🙂
Bagi yang ingin mengetahui jadwal praktek saya bisa dilihat dibawah ini…













Siang dok. Sy mw tanya jd skrg prinsipnya klo tambalan rk yg lama perlekatannya masih baik tdk hrs dibongkar semua?krn yg sy tw klo rk lama tdk bs melekat dgn rk baru.
Klo giginya udh overbleached begitu apa bs balik ke wrna asli stlh bbrp wkt?
Mohon penjelasannya. Terima kasih
Halo dok… Terima kasih untuk pertanyaannya….
Nah bener dok resin komposit yang lama kurang sempurna bila berikatan dengan komposit yang baru.. Di dalam jurnal bond strenght nya berkurang, tapi bukan tidak ada sama sekali… Tetapi hal ini bisa diantisipasi bila dokter menggunakan bonding yang mengandung silane, contohnya pada 3M Universal Bond, sehingga bonding yang terjadi tetap dapat maksimal…
Memang sebaiknya resin komposit yang lama di ganti seluruhnya, terutama bila kita tidak tahu kualitas pengerjaan sebelumnya, tetapi dalam kasus ini saya memilih tidak membongkarnya pertama untuk efisiensi waktu kerja, menghindari sensitivity post restoration karena ternyata fraktur sebelumnya hampir mencapai setengah gigi, dan kebetulan saya memakai bonding yang mengandung silane…
Mengenai warna gigi apakah bisa balik ke warna asli saya rasa hal tersebut agak sulit dok mengingat begitu besarnya demineralisasi yang terjadi, yang bisa kita lakukan adalah mengembalikan kualitas jaringan struktur gigi dengan melakukan remineralisasi kembali…
Kira2 demikian dok semoga menjawab pertanyaan dokter….
Dok, menurut dokter pake pemutih gigi dr olshop itu aman gak? Terus bagusnya dipake berapa minggu sekali? *aku tergiur sama putihnya gigi pasien dokter ini ‘-‘)/* atau dokter punya cara memutihkan gigi yg lebih aman? Soalnya gigi saya ini gampang kuningnya dok..
Halo mbak, maaf baru sempat reply…
Saya tidak tahu persis tipe seperti apa yg dimaksud, tetapi pemutihan gigi yg efektif tentu yg dilakukan oleh dokter gigi di tempat prakteknya
Jadi kalo mbak ingin memutihkan gigi sebaiknya datang ke dokter gigi
Halo dok. Terimakasih sudah posting banyak kasus. sangat menginspirasi terutama bagi saya yg belum banyak pengalaman. saya suka dan setuju dengan kesimpulan terakhir drg.rinto, kalau gigi tidak bermasalah tidak usah di veneer. Terimakasi dok
Halo juga dok… makasih sudah mampir di website saya.. senang kalo bisa ada informasi yg bermanfaat buat dokter…
Ass.dok,2 gigi depan saya ada white spot agak lebar n ada seperti retak berwarna kecoklatan.saya sudah pernah k dokter gigi d slah 1 klinik,dilakukan direct veneer,tapi warna veneer itu cendrung kuning n lebih kuning dari warna gigi lainnya.sehingga veneer d bongkar n d ganti dengan veneer yg berwarna lebih putih.
Setelah d bongkar,n sekarang sudah 3x d lakukan veneer selalu saja pecah,pdahal saya sangat hati2 saat mkan.n sekrang sya bingung,sya kasian sengan gigi yg selalu d kikis sebelum veneer….
Bisakah minta pendapat dokter tentang msalah saya….