Assallamualaikum Wr Wb….
Selamat pagiiii….
Alhamdulillah hari ini bisa posting kasus lagi, gmana teman2 yang menjalankan ibadah puasa? Semoga ibadahnya lancar ya sampai hari raya nanti… amiiin….
Kasus hari ini saya merasa senang karena dipercaya oleh seorang sejawat untuk merawat gigi anaknya, tetapi untuk menjaga privacy nama beliau tidak akan saya sebutkan disini.. Intinya saya sangat berterima kasih sudah diberi kepercayaan itu π
….Jadi begini ceritanya…
Gigi pasien ini pernah fraktur di ujung insisal waktu masih sekolah SD dan sudah ditambal oleh ibunya, nah sekarang sudah mau masuk kuliah, dan di gigi tersebut terlihat garis kecoklatan yang menandakan ada karies sekunder…
Karena masalah estetik tentunya maka ibunya minta tolong ke saya untuk tambalan tersebut diperbaiki…
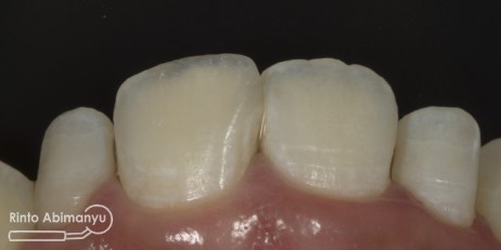
Begini kondisi gigi saat datang…
Ok setelah saya lihat kasusnya maka saya sanggupi untuk menambal ulang giginya…
Saya lakukan pencocokan warna gigi dengan tehnik menempelkan bulatan kecil komposit pada bagian 1/3 tengah kemudian disinar, lakukan dengan beberapa shade warna sampai mendapatkan warna yang mendekati bagian tersebut….
Kemudian saya pasangkan rubber dam untuk isolasi daerah kerja..
Tambalan yang lama dibongkar dan seluruh karies sekunder dibuang juga, tepi kavitas dibuatkan bevel yang lebar tujuannya lebih ke estetik agar peralihan bahan tambal dengan struktur gigi tidak terlihat…
Begini kondisi setelah dilakukan pembongkaran tambalan…
Kemudian gigi dietsa, dengan sebelumnya gigi 11 saya tutup menggunakan teflon tape (selotip kran air), lalu dilanjutkan dengan pemberian bonding…
Teflon tape dilepas, kemudian saya letakkan seluloid strip diantara gigi 21 dan 11 untuk membatasi dan juga sebagai alat bantu untuk membuat palatal shell…
Palatal shell saya buat dengan tehnik free hand menggunakan komposit shade translusen Β Β Z350XT (3M)… Tehnik free hand disini maksudnya adalah seluloid strip itu saya tempelkan ke bagian palatal gigi 21 dengan hanya ditahan menggunakan jari tangan…
Untuk lapisan pertama saya memakai komposit shade dentin A3 Z350XT (3M) adaptasinya dibantu menggunakan kuas..
Setelah itu dilanjutkan komposit shade body A3 Z350XT (3M) dan untuk lapisan terakhir komposit shade email A2 Z350XT (3M)… Pada saat peletakan lapisan demi lapisan sudah mulai diperhatikan kontur permukaan, outline anatomi sehingga tidak terjadi pembuangan komposit yang berlebihan pada saat polishing and finishing….
Untuk finishing menggunakan bur fissure strip merah dan juga Soflex disc (3M) kemudian dilanjutkan untuk polishing menggunakan Diacomp Plus Twist (EVE) dan terakhir memakai felt buff….
Begini kondisi akhir gigi 21 setelah selesai finishing dan polishing…
Alhamdulillah bisa memenuhi ekspektasi dari sejawat π dan pasien pun tampak senang, dan mudah2an jadi semakin pede untuk tersenyum ya…. π
Untuk penambalan anterior memang memiliki tingkat kesulitan tersendiri, tetapi semua itu bisa diatasi dengan cara pemilihan warna dan prosedur penambalan yang tepat serta proses pembelajaran yang terus menerus dalam mengerjakan kasus… saya yakin semua pasti bisa…
Sampai disini cerita kasus untuk hari ini…. Mudah2an terus bisa update… Buat para pembaca yang baru pertama kali mampir di website saya silahkan lihat2 juga kasus2 sebelumnya yang ajiiibjebreeet juga π
Β Berikut jadwal dan tempat praktek saya…








dok untuk pencocokan warna yg jd pedoman untuk dletakkan digigi komposit yang mana dok?..kan pada saat penambalan komposit yang dipake ada banyak sprt body dan dentin A3 enamel a2 dan komposit translusen utk palatal shell terima kasih dok
Untuk percobaab warna gigi saya biasa pakai warna body, atau terkadang kalo gigi pasien terlihat sangat opaque maka untuk pencocokan saya memakai warna dentin…. tidak pernah saya memakai warna email untuk pencocokan warna karena jenis tersebut lebih translusen sehingga hasilnya bisa bias
ok terimka kasih dok
sip sama2