Assallamualaikum Wr Wb….
Selamat Pagiiiii…….
Bagaimana ibadah puasanya? Insya Allah lancar dan ibadah lainnya juga semoga lancar dan diterima Allaah SWT… amiin…
Pas bulan puasa ini saya sempat berbuka puasa bareng drg. Rio dan drg. Furqan beserta anggota keluarga kita komplit…plit..plit.. 😀 Kebetulan anak-anak juga sedang libur sekolah…
Selain buka puasa bareng keluarga, kami juga sempat diajak berbuka puasa bareng beberapa prinsipal antara lain 3M, Cobra, Denjoy, Yotuel

Buka puasa bareng 3M Indonesia… Rencana ada 10 orang tetapi hanya 6 yang datang… Ki-Ka : drg.Furqan, Mas Ganda (3M), drg. Mirza, Mas Aris (Cobra), drg. Rio dan saya…
Semoga hubungan baik yang terjalin bisa membawa kesuksesan buat kita semua… amiiin…
Nah selama bulan puasa ini juga memang semua kegiatan seminar di stop dulu, jadi nanti setelah lebaran baru dimulai lagi beberapa kegiatan seminar… Salah satunya nanti pada tanggal 21 dan 22 Juli 2016 saya diundang oleh M3i mengisi seminar tentang “Direct Class II Post Endodontic Restoration” bareng pembicara dari luar negeri Prof. Gambarini di Hotel Double Tree Jakarta, buat yang berminat ikutan langsung kontak nomer yang ada di flyer ini ya…
Oke itu tadi sedikit cerita kegiatan saya kemarin… sekarang kita masuk ke kasusnya ya…
Eeeiiit tunggu dulu.. gak lupa saya ingin mengucapkan syukur kepada Allah SWT yang telah memberikan banyak keindahan dalam hidup saya.. Terima kasih kepada orang tua saya yang telah membesarkan dan mendidik dengan penuh kasih sayang… Kepada istri dan anak-anak saya yang telah mendampingi dan memberikan support… Kemudian juga buat para staf pengajar di almamater saya yang telah memberikan ilmu yang bermanfaat..
Sekarang beneran nih saya mulai cerita kasusnya….
Seorang pasien wanita datang dengan keluhan gigi kiri atasnya sudah berulang kali ditambal tetapi masih terasa tidak nyaman… Beberapa hari ini bahkan gusinya sedikit bengkak.. Pasien sempat sudah merasa putus asa dan minta giginya dicabut saja, tetapi saya coba yakinkan pasien untuk saya cek secara detil dahulu…
Pada saat diperiksa kondisi klinis terlihat gigi 26 masih ada tambalan komposit dan gingiva daerah bukal ada fistula.. Perkusi positif, palpasi positif dan tidak ada kegoyangan gigi.
Dari foto ronsen terlihat tambalan yang hampir mengenai kamar pulpa dan lesi radiolusen yang luas pada akar palatal…. Dari hasil pemeriksaan klinis dan radiografis sudah bisa dipastikan bahwa gigi ini nekrosis, dan perjalanan infeksinya sudah sampai membentuk abses…
Pasien dijelaskan rencana perawatan untuk gigi tersebut adalah psa, awalnya pasien menolak karena merasa sudah capek bolak-balik ke dokter gigi tetapi giginya masih terasa tidak enak.. akhirnya setelah coba diyakinkan pasien bersedia melakukan perawatan…
Saya lakukan pembongkaran tambalan yang lama, kemudian dipasangkan rubberdam.. Eksplorasi orifis memakai alat ultrasonic dan penjajakan saluran akar diawali dengan K-File no.10 dilanjutkan dengan Pro Glider (Dentsply)… Panjang kerja dihitung menggunakan apex locator Root ZX mini (Morita)..
Preparasi saluran akar saya memakai dua sistem, pada saluran akar MB dan DB menggunakan ProTaper Next dan saluran akar P menggunakan ProTaper Universal.. Pada saluran akar MB dan DB preparasi sampai pada file X2 dan untuk saluran akar P sampai pada F3… Saya coba mencari MB2 pada kasus ini tapi tidak bisa saya temukan… Setiap pergantian instrumen diirigasi dengan NaOCl 5,25% dan diaktivasi menggunakan ultrasonic tip…
Ini penampakan gigi 26 setelah preparasi saluran akar…
Saluran akar dikeringkan menggunakan paper point, diberi kapas lalu ditambal sementara.. pasien pulang….
Selesai pertandingan babak pertama hehehe :D…. sambil saya berdoa semoga apa yang sudah dilakukan membawa hasil sesuai harapan….
Kunjungan berikutnya….
Pasien datang kembali dengan senyum lebaaar… Alhamdulillaaaah melihat itu aja saya sudah menduga kalo ini kabar baik nih… 🙂 dan benar, pasien mengatakan giginya sudah jauh terasa lebih enak juga tonjolan yang ada di gusinya hilang..
Siiip lah kalo gitu… Pertandingan babak kedua bisa dilanjutkan heheheh
Ini kondisi saat datang sebelum tambalan sementara dibongkar…
Gigi kembali dipasangkan rubberdam dan tambalan sementara dibongkar… Pengisian menggunakan tehnik warm vertical condensation dengan alat Obturation System Unit (Sybronendo) serta siler AH plus (Dentsply)…
Berikut penampakan setelah dilakukan pengisian…
Kamar pulpa dibersihkan dari sisa2 siler kemudian dilakukan etsa serta bonding setelah itu lapisan dasar menggunakan SDR (Dentsply) sampai kurang lebih 4 mm dari permukaan oklusal… Untuk bagian oklusal saya restorasi menggunakan komposit Z 350 XT (3M) single shade A2 body…
Setelah itu rubberdam dilepas dan dilakukan pengecekan oklusi dengan articulating paper, kelebihan bahan tambal dikurangi kemudian dipoles menggunakan Enhanced (Dentsply) serta Astrobrush (Ivoclar)..
Ini dia foto giginya setelah selesai perawatan..
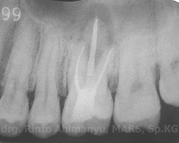
Hasil ronsen nya pun menunjukkan pengisian yang hermetis dan adaptasi tambalan yang baik…
Alhadulillah…. pasien senang karena giginya tidak perlu dicabut, saya pun senang karena berhasil meyakinkan pasien untuk tidak mencabut giginya karena masih mungkin dipertahankan…
Oo iya… perawatan saluran akar dan restorasi akhir yang terlihat natural pada perawatan ini tidak mungkin terlaksana tanpa alat bantu visual yang memadai… Saya menggunakan lup “The Signature by Run ForwaRd” salah satu seri terbaik dari 4oureyes loupe, dengan perbesaran 3,5x, sehingga daerah kerja saya terlihat lebih besar, jernih dan terang….
Buat teman2 yang sedang mencari lup, merk ini bisa menjadi salah satu alternatif pilihan yang recommended…. Untuk free trial di area Jakarta bisa langsung kontak account Facebook Belanja Gigi atau 0878-7807-2277, teman-teman akan langsung dikunjungi….
Buat yang mau mudik hati2 di jalan ya… semoga selamat sampai tujuan dan bisa berkumpul serta berbahagia bersama keluarga… Selamat Idul Fitri buat seluruh pembaca website ini, Taqaballahu mina wa minkum…. Mohon maaf lahir dan batin…
Sampai disini cerita kasus untuk hari ini…. Buat para pembaca yang baru pertama kali mampir di website saya silahkan lihat2 juga kasus2 sebelumnya yang gak kalah menarik 🙂
Bagi yang ingin mengetahui jadwal praktek saya bisa dilihat dibawah ini…
atau bisa dilihat langsung klik disini.
Teman2 yang belum bergabung di Run ForwaRd ayo lekas bergabung… Sudah ada 2470 an member lho 🙂 silahkan langsung klik link berikut
Add Facebook saya dan follow instagram saya juga untuk update kasus2 baru 😉
Sampai ketemu di kasus berikutnya ya…
Wassallamualaikum Wr Wb….















dok itu hanya 2 kali perawatan dan selesai?