Kasus 50: Retreatment Gigi 11

Assallamualaikum Wr Wb….

Selamat pagiiii….

Alhamdulillah hari ini bisa update kasus baru, walaupun kemarin banyak terdapat kendala di website ini tapi semua bisa dilewati dengan lancar…

Saya mau mengucapkan terima kasih juga buat teman2 yang sudah membantu mengatasi kendala2 tersebut…

Dan pada kesempatan ini saya juga akan mengucapkan syukur kepada Allah SWT yang telah memberikan banyak keindahan dalam hidup saya.. Terima kasih kepada orang tua saya yang telah membesarkan dan mendidik dengan penuh kasih sayang… Kepada istri dan anak-anak saya yang telah mendampingi dan memberikan support… Kemudian juga buat para staf pengajar di almamater saya yang telah memberikan ilmu yang bermanfaat..

…Lanjut ke kasusnya

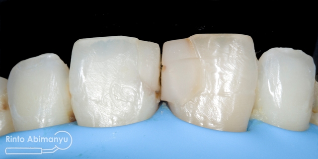
Pasien datang awalnya untuk memperbaiki tambalan gigi depan yang terlihat sudah rusak.. Tetapi dari anamnesa diketahui gigi itu sering timbul seperti jerawat di gusinya..

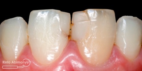
Ini kondisi gigi pada saat datang…

Kondisi awal gigi 11

Terlihat kondisi gigi 11 dan 21 yang ada tambalannya di mesial, ada karies sekunder dan bentuk tambalan tidak mengikuti anatomi gigi 11 dan 21 seharusnya…

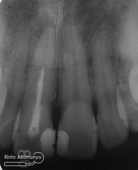
Ternyata dari foto ronsen diketahui gigi 11 pernah dilakukan perawatan saluran akar tetapi pengisiannya tidak sepanjang kerja..

Ini ronsennya…

Foto radiografis awal gigi 11

Saya jelaskan ke pasien apa2 saja yang ditemukan pada giginya, jadi kasus ini bukan cuma memperbaiki tambalan saja tetapi harus didahului dengan perawatan saluran akar.. Setelah pasien mengerti keadaannya maka perawatan dimulai…

Untuk kunjugan pertama ini target saya adalah mengeluarkan bahan pengisi dari perawatan sebelumnya. Gigi saya isolasi dengan rubber dam kemudian dibuat akses dari palatal sampai menemui guttap yang ada di saluran akar.

Guttap saya lunakkan menggunakan minyak kayu putih Cap Lang (lho? kok iklan… 😛 hehe) dengan cara memasukkan minyak ke dalam akses tadi dengan cotton pellet, usahakan sampai menggenangi orifis dan tutup akses dengan cotton pellet kering agar minyak yang ada di dalam tidak cepat menguap.

Setelah 5 menit, akses kembali dibuka kemudian saya mengambil guttap untuk tahap awal menggunakan peeso reamer kemudian dilanjutkan dengan headstroem no.15

Pengambilan guttap dengan peeso reamer

Untuk melihat hasil pengambilan guttap dilakukan pengambilan foto ronsen, kebetulan ronsen yang tahap tersebut gak tau terselip dimana jadi tidak bisa saya tampilkan.. maklum masih pakai film hehehe… Untuk kunjungan pertama saya selesaiakan sampai tahap ini dan pasien pulang…

Kunjungan kedua…

Pada saat kunjungan kedua objektifnya adalah untuk melakukan preparasi saluran akar, pengisian kemudian perbaikan tambalan pada gigi 11 dan 21.

Gigi diisolasi kembali dengan rubber dam, kemudian gigi dilakukan preparasi saluran akar.. Saya menggunakan K-File sampai no.45, dan diirigasi menggunakan NaOCl 5,25% serta diaktivasi menggunakan menggunakan ultrasonic skeler dengan tip Irrisafe (Satelec).

Gigi 11 setelah preparasi saluran akar

Pengisian dilakukan menggunakan tehnik warm vertival condensation memakai Element Obturation Unit (SybronEndo), setelah itu untuk seal nya memakai SDR (Dentsply)..

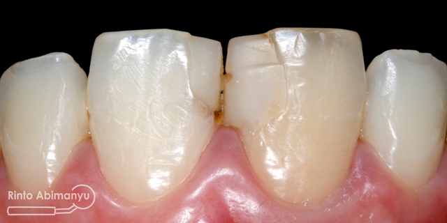
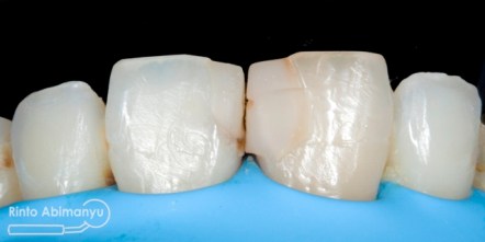
Setelah pengisian selesai maka prosedur selanjutnya adalah memperbaiki tambalan pada kedua gigi itu…

Tampak depan sebelum tambalan dibongkar

Tambalan lama dibongkar dan seluruh jaringan karies sekunder dibuang, kemudian tepi kavitas labial dibuatkan bevel…

Setelah tambalan dibongkar dan dibuatkan bevel

Gigi-gigi kemudian dietsa dan dibonding, penambalan menggunakan resin komposit Palfique LX5 (Tokuyama) shade OPA2, OA3, A3… Pada kasus ini saya tidak memakai cetakan silikon untuk membantu membentuk outline gigi, hanya mengandalkan seluloid strip..

Selesai penambalan dan sebelum dilakukan konturing dan pemolesan

Kemudian dengan bantuan pensil dibuat panduan surface texture, dan mulai dibentuk dengan bur ukuran fine (strip merah) kecepatan rendah… Setelah tekstur selesai kemudian mulai dilakukan pemolesan, saya menggunakan Enhance (Denstply) bentuk point untuk awal dilanjut Soflex Spiral (3M) dan terakhir menggunakan buff…

Alhamdulilah ini hasil akhir dari gigi 11 dan 21…

Gigi 11 dan 21 setelah selesai konturing dan pemolesan

dan tidak lupa juga dibuat foto ronsen untuk melihat hasil perawatan ulang saluran akarnya…

Pengisian terlihat hermetis dan sepanjang kerja

Alhamdulillah semua rencana dari mulai perawatan ulang saluran akar sampai memperbaiki tambalan bisa selesai dalam 2 kunjungan dan hasil yang sesuai harapan… Pasien senang dan saya pun lebih senang 😀

Pada kasus2 memperbaiki tambalan lama harus kita evaluasi juga kondisi pulpa gigi tersebut atau kita lihat juga apakah pernah dirawat sebelumnya, sampaikan kepada pasien kalo memang keadaannya mengharuskan melakukan perawatan saluran akar terlebih dulu sebelum memperbaiki tambalannya…

Buat pasien2 yang ingin konsul ke saya atau buat teman2 sejawat yang ingin mengkonsulkan pasien, atau yang mau datang ngobrol2, saya bisa ditemui disini…. 🙂

atau bisa dilihat langsung klik disini.

Teman2 yang belum bergabung di Run ForwaRd ayo lekas bergabung, tapi hanya khusus buat dokter gigi dan yang bergerak di bidang usaha kedokteran gigi aja ya 🙂 … Sudah ada 3260 an member lho, silahkan langsung  klik link berikut

Add Facebook saya dan follow instagram saya juga untuk update kasus2 baru 😉

Sampai ketemu di kasus berikutnya ya…

Wassallamualaikum Wr Wb….

This entry was posted in Uncategorized and tagged , , , , , , , , , , , , , , , , , , . Bookmark the permalink.

6 Responses to Kasus 50: Retreatment Gigi 11

  1. rika's avatar rika says:

    dok kenapa setelah guttap dikeluarkan tidak langsung preparasi saluran akar?apakah pasien pulang dengan keadaan gigi dibiarkan terbuka?dan berapa hari pasien disuruh kembali untuk preparasi saluran akar terima kasih dok

    • Tidak langsung hanya karena permasalahan waktu saja pada saat itu, karena proses pengeluarannya saja sudah memakan waktu hampir 1 jam dan sudah ada antrian pasien lain 🙂

      Pasien pulang dalam keadaan ditutup tambalan sementara, untuk kembalinya pada jadwal saya berikutnya tidak ada patokan khusus harus berjarak berapa hari

  2. rika's avatar rika says:

    oh ya dok keren jg pake minyak kayu putih ya dok..harus dicoba ini dok heheh

  3. rika's avatar rika says:

    tidak memakai medikamen kan dok..brarti stelah guttap kluar irigasi keringkan lsg tutup TS ya dok..klu sudah mau bongkar guttap sya nyemangatin diri dulu dok krn sudah stres duluan heheh..mkasi bgt info minyak kayu putihnya dok..btw klu xylol ataw xylene dbeli dimana dok ya??soalna masi asing buat sya dok hehhe

Leave a comment